肾癌是泌尿系肿瘤较常见的肿瘤,血尿是其早期表现出的症状,当出现疼痛及发现包块时已属晚期。肾癌的预后相对于其他专业如消化道及呼吸道的肿瘤其预后较好。如何做到早发现、早诊断、早治疗是肿瘤治疗的关键。近日,betway在线登陆泌尿外科团队成功为一复杂肾癌的患者实施了左肾癌切除手术。
陈大叔20年7月因身体不适出现血尿到青岛某三甲医院就诊,检查发现左肾中极3cm实质性包块,术前确诊左肾癌,随后住院行“腹腔镜下保留肾单位肿瘤剜除术”。术后康复出院。两年后又感觉不适,到当时手术的医院检查时发现左肾癌复发,医生评估后认为肿瘤瘤体较大,周围粘连重,手术难度较大,肿瘤切除风险高,选用了靶向药物治疗。大叔接受靶向治疗后半年出现明显的副反应,恶心呕吐、慢性贫血。今年3月份就诊于我市某三甲医院,同样因为肿瘤体积大,无法手术。
这半年以来,陈大叔的体重骤减了20多斤,饱受疾病折磨。家人不忍大叔被病痛折磨,多次往返广州、上海等三甲医院求医,均因病情复杂、手术难度高等原因被拒绝收治。直到上个月,家人经多方打听来到betway在线登陆,联系到我院泌尿外科王甫剑主任医师,抱着最后的希望前来就诊。
左肾癌的手术为什么难度大?——连闯三座大关
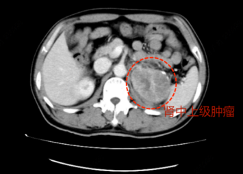
术前关:对于恶性肿瘤患者,一旦发现多为中晚期,检查后发现已错过最佳手术时机,而陈大叔因为术后复发,肿瘤情况进一步恶化,如果不积极外科手术干预身体可能会更糟。入院后王甫剑主任为大叔做全面的术前检查,腹部增强CT显示左肾中极肿瘤大小约8cm×6cm,与腰大肌粘连固定,且不排除肾静脉癌栓存在。为充分评估陈大叔术前病情,泌尿外科王甫剑主任汇报院领导,组织了多学科会诊,经各位专家讨论后,最终决定我院组织最强团队全力以赴为陈大叔准备手术。考虑到患者肿瘤体积大,直接采取肿瘤切除术的风险较高,为减少术中出血,预防癌栓脱落,术前介入科陈育锋主任为患者先行左肾肿瘤动脉及左肾付肾动脉栓塞术,防止术中大出血及肿瘤癌栓的脱落,可有效降低手术风险,为手术提供保障。
手术关:一切准备就绪,2023-09-19上午陈大叔被推入手术室,无影灯下麻醉郑见、彭鹏二位主任、最强护理团队按预定手术方案有条不紊的进行操作。术中见左肾中上极可及8cm×6cm肿块,由于肿瘤周围粘连范围大,肾脏移动度极差,加之瘤体巨大,手术操作空间小,大大增加了手术难度,需要非常谨慎以免误伤周围脏器和肠管,在普外科冯兴波副主任医师的协助下,历经近2小时30分,左肾肿瘤、左肾上腺以及肾周组织、上段输尿管及转移到腰大肌的肿瘤及部分腰大肌组织一并完整切除干净,陈大叔顺利度过手术关。

术后关:大家都知道,术后患者最需要的是营养,而陈大叔因长时间血尿,身体早已严重贫血,而且伴有低蛋白血症,身体极为虚弱,术后在王甫剑主任根据患者病情,制定适合陈大叔的营养支持方案,历经16天,陈大叔面带笑容的出院回家。
在感谢信与锦旗里的“字短情长”
经过术后几天的恢复,陈大叔感觉自己这才“活了过来”,等到临出院的时候,他的儿子特地为泌尿外科王甫剑主任准备了锦旗和感谢信,只为表达了自己及家人最真挚的感谢和肯定。在信中他这样写道:“在我看来,这不单单是一场手术,更是一场生命的延续。”高度赞美了sararz人救死扶伤、待病人如亲人的精神品质”。
收到感谢信后,王甫剑主任感慨的说:“病人的满意就是对医生最高的奖赏”。


专家介绍

王甫剑 主任医师
坐诊时间:周一、周三、周五上午8:30-12:00
原徐州市中心医院泌尿外科主任医师,现betway在线登陆泌尿外科主任。从事泌尿外科临床、科研、教学30余年。
专业特长:泌尿系结石的体外震破碎石、输尿管软、硬境的钬激光腔内碎石,经皮肾镜术;前列腺剜除及等离子电切、膀胱肿瘤的等离子电切;腹腔镜下肾上腺、肾及前列腺肿瘤的微创治疗。实现了泌尿外科疾病微创治疗的全覆盖。对巨大、复杂性肿瘤的开放手术治疗,以及严重泌尿系统损伤的急诊处理有独到之处。