高处坠落有多危险?
每年高坠落受伤的案例比比皆是……
俗话说:“不怕一万,就怕万一”
当意外突然来临,后悔已经来不及了……
高处坠落的特点:
时间短、距离大;速度快、能量大;不可逆、后果严重;高处坠落发生率高,伤亡率也高。
在建筑施工、检维修、工程抢修等过程中,各种事故时有发生,其中以高处坠落事故居多。

最容易忽视的风险,也是最频发的!
八米坠落,紧急抢救
李师傅34岁,家住铜山。
今年六月从八米高处意外坠落,伤及胸部及下肢后被120送至我院急诊。来院时,李师傅表现出持续的胸痛、胸闷,且呼吸时能看到气体自伤口溢出。伤口处可见胸骨和肋骨断端暴露在外,有明显骨折的表现。
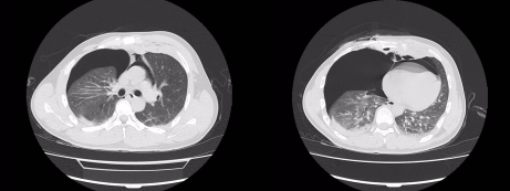
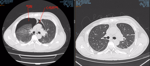
急诊医生对胸部伤口进行紧急加压包扎,随后经CT检查发现李师傅出现了心包积气与气胸,情况十分危险,随即联络胸外科王保毅主任进行紧急手术。

入院CT显示患有心包积气与气胸
王保毅主任的手术团队为李师傅进行了“开胸探查+心包开窗术+胸骨骨折内固定+肋骨骨折内固定”的手术,术中首先清除心包内的积气,然后针对胸骨和肋骨骨折进行内固定。
在医生近两小时的努力下,李师傅成功脱离危险。

术前术后胸骨对比图

术前术后心包积气情况对比
高空坠落怎么办?
l 保持冷静,切忌不可慌乱,立即拨打急救电话。
l 确保环境安全的情况下,应初步检查伤者伤情,不乱搬摇动。
l 大声呼叫伤者,查看患者意识是否清醒,询问病人感受,昏迷伤员要保持呼吸道畅通。
l 采取救护措施,初步止血、包扎、固定。
l 怀疑伤员颈椎有损伤,应平抬伤员至担架上,专人牵引固定其头部,并上颈托。
一时无颈托时,应在伤员的颈部两侧各放一只沙袋或衣物,以防止头部扭转或屈曲而导致颈椎损伤加重。
l 对怀疑脊柱损伤或骨折的伤员,应由3或4人在同一侧同时托住伤员的头、肩、臀和下肢,把伤员平托起来,平卧在木板上,并用绷带加以固定。
l 伤员上下担架应由3-4人分别抱住头、胸、臀、腿,保持动作一致平稳,保证患者颈椎、胸椎和腰椎在一条直线上,避免脊柱弯曲扭动加重伤情。绝对禁止一个抬肩一个抬腿的搬法,以免发生或加重患者发生截瘫。
l 使用硬板担架,快速平稳地送到医院救治。