进入8月份以来,随着气温飙升,骑车不带头盔的市民开始增加。近些日子,betway在线登陆急诊科一周内连续收治了四位因意外事故导致颅脑外伤的患者,而这些血淋淋的惨痛事故背后都有一个共同点,那就是他们骑行时没戴头盔。
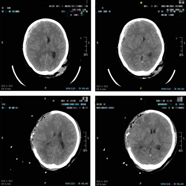
不久前的一天凌晨,孟女士(化名)骑共享单车时不慎摔倒被送到betway在线登陆急诊大厅,当时孟女士已经是神志不清并且处于深度昏迷状况。查头颅CT后发现患者右侧额颞顶硬膜下血肿并伴有脑疝,急诊科医生初步判断患者为重型闭合性颅脑损伤。
急诊科紧急联系了神经外副主任医师郑华煜。凌晨0点,孟女士被推进了手术室,郑华煜医生为病人进行了“开颅血肿清除、去骨瓣减压手术并进行颅内压检测”。在麻醉科和神经外科医生的配合下,手术用时3小时,患者颅内坏死的脑组织渐渐被清除掉。最终,在这场和死神的battle(战斗)里,医生又一次赢得了胜利。

从当日接诊医护人员处了解到,孟女士骑车时由于未佩戴头盔,摔倒时头部直接着地从而导致颅内出血。
“脑部出血多少会留下后遗症,后期生活质量会受影响,还可能诱发继发性癫痫。”神经外科董伟主任提醒,当事故发生时,头盔可吸收大部分撞击力,起到缓冲、减震的保护作用,骑行时请务必戴好安全头盔。
betway在线登陆神经外科
神经外科成立于2012年2月,是必威官方首页官网betway重点发展学科。科室现有床位40张,可使用医院公共ICU床位10张。目前医师8名,其中主任医师2名、副主任医师2名、主治医师3名、助理执业医师1人。科室配有MRI、螺旋CT、DSA、颅内压监护仪、脑电监护仪、德国莱卡显微镜、美国Mayfield头架、自动调控降温毯等大型仪器设备。医院配有大型高压氧舱,为脑外科疾病的诊断、治疗及康复的一体化提供了重要的保障。
科室以急症神经外科为重点,以重症颅脑创伤救治、脑出血的微创治疗为特色,同时开展颅内肿瘤、动脉瘤、蛛网膜囊肿、先天性脑积水,颅骨修补术、颌面骨骨折内固定等手术。