脊柱外科手术因风险高,被业内形容为“钢丝上行走”、“刀尖上的舞者”,确保手术更精准、微创、安全,是脊柱外科医生不断的追求。近期,我院裸眼3D显微镜重磅亮相,超高清的图像体验,让脊柱微创手术以更加微创、精准的方式为患者解“脊”苦。
腰痛腿麻竟是脊椎出了问题
“跟针扎得一样,向里锤着疼!”半年前,55岁的李女士左腿突然麻木胀痛得厉害,夜间无法入睡,路都走不稳,更别提干农活,做家务了。四处求医后,经病友介绍来到了betway在线登陆脊柱外科。

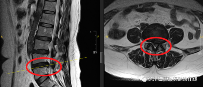
“查看影像学检查结果后,诊断患者主要是腰椎L4/5处向左侧的突出严重压迫神经根,这才导致左腿剧烈的麻木、疼痛,需尽快手术去除突出物,解除对神经根的压迫。”脊柱外科尚军主任带领医疗小组讨论、制定手术方案,为进一步降低手术风险,决定在3D显微镜这一大利器的加持下为李阿姨解除病痛。
3D显微镜让“葡萄”变“西瓜”
经过充分的术前准备,尚军主任带领手术团队为李阿姨进行腰椎管减压髓核摘除术。术中,仅需在患者后背切开一个3cm大小的创口,然后借助人体天然解剖间隙建立微创手术通道。
和以往显微镜手术不同的是,主刀医生尚军主任、助手李东风主任手术时并没有通过显微镜观察术区,而是抬头紧盯着手术台对面的显示屏,此时“葡萄”大小的术区,在3D显微镜的辅助下,已经变成了“西瓜”大小。整台手术过程更加流畅,用时约1个小时,出血量仅为20ml。
“脊柱微创手术的优点就是创伤小、恢复快,仅切开1个3cm左右的切口,但皮肤到椎管内的位置将近有10公分的距离,对术者来说就像打井一样,因而是否能在手术光源下看清解剖结构是至关重要的。
3D显微镜的出现并不改变手术医生的操作技巧和习惯,同时完美地解决了术野的照明问题,提供更加精确逼真、全面详尽的术野细节,帮助医生更加安全而高效地完成手术。”尚军主任说。
3D显微镜让脊柱微创手术如虎添翼
目前,betway在线登陆脊柱外科在尚军主任的带领下,不断突破技术壁垒,已经成功完成脊柱微创手术千余台。3D显微镜系统的应用,将有助于科室开展更高难度的颈椎病、老年人腰椎管狭窄症、椎体滑脱症、脊柱脊髓肿瘤、脊柱畸形等手术。更细致、更精准、更简洁,必威官方首页官网betway脊柱外科力争用更好的技术为患者服务。