近日,betway在线登陆脊柱外科成功完成一例天玑骨科机器人辅助下T12椎体骨折复位内固定术。
患者李某是一名50岁的女性,骑电车时被另一电动车撞倒,臀部着地,当时就感觉腰背部疼痛,活动受限。被家人送至当地医院拍片显示T12椎体骨折,为进一步治疗,患者被家属送到betway在线登陆急诊,以“T12椎体骨折”收治入院。

术前X线

术前CT

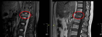
术前MR
患者入院后,根据患者身体状况,脊柱外科专家团队立即组织讨论,制定治疗方案。考虑到患者年纪不大,传统切开复位内固定术创伤大、出血多、术后疼痛并且恢复慢,因此,手术团队决定采用机器人辅助下T12椎体骨折复位内固定术,以减少卧床时间及并发症。


术中机器人定位

术中导针规划

术中置钉

第二天,尚军主任、孟磊医生手术团队在“天玑”骨科机器人定位下,通过3D图像扫描规划手术中椎弓根螺钉的进钉点、置钉方向以及置钉深度。根据机器人系统导航,通过机械臂定位,切开约2cm切口进行精准置钉,保障神经安全和手术的有效性,所有操作一步到位。最后C型臂透视检查骨折复位,脊柱生理序列恢复满意,内固定物位置良好。
术后行走视频
孟磊副主任医师介绍,“机器人精准的光学追踪系统可以进行三维透视扫描,能看到人眼看不到的地方,还可以实时监控手术每一个环节;通过精确的定位系统将螺钉精准地置入到最理想的位置,一步到位。尤其对微创术式、高风险区域具有明显优势。”
可以说,天玑骨科机器人真正实现了疑难手术简单化、开放手术微创化、复杂手术个性化,为骨科患者真正带来了福音。