50岁的年纪,却因腰背疼痛连十米远的距离都走不到,这种疼痛及酸楚谁人能懂?
在betway在线登陆脊柱外科,已手术完正处于康复期的王阿姨向病友讲述着自己这一路以来的辛酸……原来,王阿姨5年前腰背及左腿出现反复疼痛,当时以为是累着了所以未予重视,只是简单的吃药缓解,但随着时间的推移,症状却越发严重。
半个月前,王阿姨因劳累再次诱发症状加重,站立或是弯腰时疼痛麻木感加重,更要命的是,走不了几步路,腰背及左小腿的疼痛麻木让人无法忍受,连起居都成了问题。
这下可把王阿姨吓坏了,急忙到当地医院检查,医生给的答复是脊柱出了问题,需要通过手术才能解决……一听要做脊柱手术,王阿姨和家人不禁担心起来,毕竟这也算是个大手术,怎么才能确保安全呢?于是,一家人没日没夜在网上查起了资料,最终发现关于betway在线登陆脊柱外科拥有骨科机器人以及3D裸眼显微镜!这不禁让王阿姨眼前一亮:“这光看名字就是高科技呀!”于是又搜索了很多关于这方面的新闻报道,最终决定来betway在线登陆脊柱外科试一试。

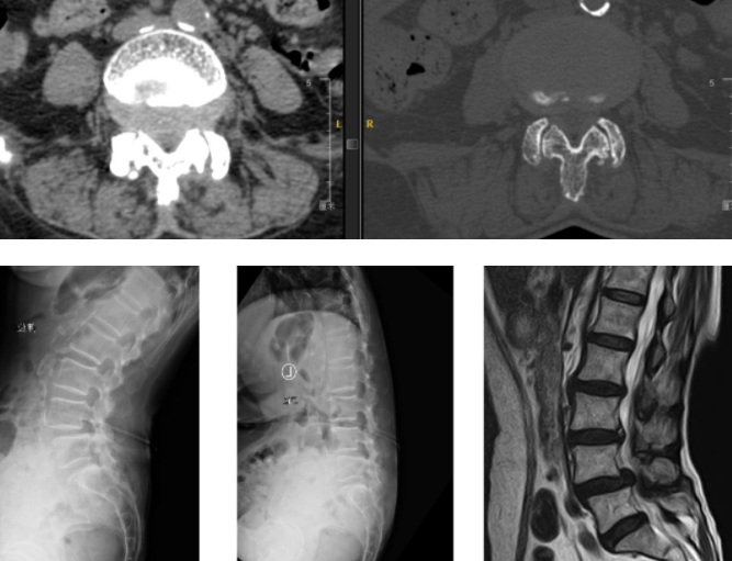
术前资料
骨科机器人+3D裸眼显微镜
微创、精准、安全

入院后,在完善相关检查后王阿姨被诊断为:腰椎管狭窄、腰椎不稳、腰椎间盘突出。随后脊柱外科尚军、张冶手术团队在骨科机器人+3D裸眼显微镜的辅助下,为王阿姨进行了腰椎后路减压+内固定+椎间融合术 (L4/5)。
据脊柱外科尚军主任介绍,现如今更多患者追求微创、精准、安全的手术方式,但这些是传统“开大刀”的手术方式无法满足的,这时候就需要像骨科机器人、3D裸眼显微镜这类高科技产品的辅助,帮助医生更好地完成手术任务。
像王阿姨这种情况,需要先在3D裸眼显微镜下进行腰椎后路减压,这时如果没有3D裸眼显微镜的话,首先医生在手术中的视野会受很大影响,其次还会增加医生在手术中的疲劳感,这两点都会对手术的成败有很大影响!现在我们sararz脊柱外科有了3D裸眼显微镜,它运用3D电子成像显示技术,直接将手术区的图像投射到眼前,最大可以使细小的神经放大95倍,医生在这种视野下操作手术,完美解决了手术中术野的照明问题,大大避免了误伤神经,帮助医生更高效地完成手术,使手术更为精准、安全!

术中
这时候再结合骨科机器人,根据术前规划路径,自动调节进针角度、分析确定定位点,并智能自动寻找。在骨科机器人的帮助下,医生只需在置钉部位切开约2cm切口,这样不损伤其它椎关节,保障了神经安全,使手术更精准、更微创、患者更快康复。

在骨科机器人+3D裸眼显微镜的辅助下,王阿姨的手术进行的很顺利,术中仅出血约50ml,而皮肤表面也只留下了3cm的小切口,这一切都与传统手术形成的极大对比!可以说,骨科机器人+3D裸眼显微镜在当今脊柱外科关于微创手术这一概念中,已成为一种趋势,其最大程度的保证了患者在术中的安全,将微创手术最为核心的精准、伤害小的特点发挥的淋漓尽致,这对于患者本身及术后的康复来说都极为有利!
专家名片

尚军
主任医师
脊柱外科主任
中国神经修复学专业委员会委员
江苏省医师协会骨科医师分会脊柱学组委员
徐州市骨科专业委员会委员
徐州市康复医学会修复重建外科专业委员会委员
徐州市医学会手外科专业委员会委员
专业特长:腰椎滑脱后路复位经皮椎弓根螺钉植入,微创经椎间孔椎体间融合术(MIS-TLIF);腰椎间盘突出微创脊柱内镜下髓核摘除术;显微镜辅助下颈椎间盘摘除椎间融合内固定术;颈前路椎间盘摘除+椎间融合+内固定术;颈椎后路椎管扩大成形术,颈椎后路减压侧块螺钉固定术;天玑机器人辅助下脊柱骨折及退变性疾病微创手术等。

李东风
主任医师
中国医师协会骨科医师分会委员
徐州市医学会骨科学组委员、康复学组委员
专业特长:四肢骨折及脊柱的微创治疗,如干骺端骨折微创MIPPO技术,四肢长骨干骨折微创闭合复位髓内钉内固定技术;股骨粗隆间骨折微创闭合复位PFNA内固定;脊柱微创手术:椎间孔下侧路及后路腰椎间盘突出髓核摘除术;腰椎后路椎间盘摘除+椎间融合+内固定术;颈前路椎间盘摘除+椎间融合+内固定术;颈椎后路椎管扩大成形术,颈椎后路减压侧块螺钉固定术。

张冶
副主任医师
中国医师协会骨科医师分会委员
中国医药教育协会骨病老年骨创伤分会委员
中华中医药学会脊柱微创专家委员会青年委员
专业特长:脊柱内镜下及显微镜下颈腰椎手术,显微腰椎间盘髓核切除术,骨质疏松性脊柱骨折微创治疗(椎体成形术),微创经椎间孔椎体间融合内固定术(MIS-TLIF),四肢骨关节创伤手术,天玑机器人辅助下脊柱骨折及退变性疾病微创手术等。