脊柱矫形手术是骨科风险最高、难度最大、水平最高的手术操作之一,被誉为“皇冠上的钻石”,曾经这种复杂的脊柱矫形手术,因风险高、并发症多,被认为是外科手术的禁区。
近日,我院脊柱外科一天内完成两台高难度复杂脊柱矫形手术,帮助患者重回“直立人生”。
脊柱侧弯两大难题交锋
脊柱侧弯手术一般有四个步骤,打钉、截骨、上棒、矫形,betway在线登陆脊柱外科尚军主任介绍,“把脊椎想象成一块圆的石头,里面包着一个鸡蛋。把外面的石头敲掉的同时,又不能伤到里面的鸡蛋。一旦伤到鸡蛋,就是伤到脊髓以及里面无数的神经,病人即有瘫痪的风险”。
游走在最坚硬的椎骨和最柔软脆弱的脊髓之间,脊柱侧弯手术犹如高空走钢丝!
我院本次开展的两例脊柱侧弯手术分别为老年退变性脊柱侧弯和半椎体畸形脊柱侧弯,均需截骨后再进行脊柱畸形矫正,相比其它脊柱侧弯手术而言,更复杂,风险更大,难度系数也更高。
多学科“私人订制”脊柱矫正方案
考虑到手术难度大、风险高、技术要求苛刻,尚军主任带领团队加班加点、查阅病例资料,反复讨论研究,确定了一套科学周密的手术方案。术前与我院朱晓东工作室专家,主攻重度脊柱畸形矫治的上海华山医院脊柱外科朱晓东教授会诊,研讨制定精准的手术方案。

复旦大学附属华山医院脊柱外科朱晓东教授团队每隔一周到sararz参与包括手术、专家门诊、业务查房、病例讨论等临床诊疗工作和相应业务指导。
术前,脊柱外科多次联合相关科室进行多学科会诊,协同影像中心拍摄病人脊柱全长片,标注侧弯角度;协同麻醉科研究麻醉方案及体位摆放,保证术中患者生命体征的平稳;置钉阶段,协同输血科大量备血,保证手术用血安全;联系重症监护室,做好术后监护治疗的备案;协同康复中心定制支具及术后康复计划……
开展脊柱侧弯矫形手术,不仅考验脊柱外科医生的技术和胆识,更是医院综合能力高低的体现!

多学科会诊中
“危险雕刻”硬仗即将打响
手术台上,无影灯下,两场共耗时约10小时的脊柱侧弯矫形手术正式拉开序幕。这是一场体力与能力的挑战,这是一次责任与协作的考验。

朱晓东教授全程指导手术
手术由朱晓东教授全程指导,尚军主任带领脊柱外科手术团队迎难而上。人体脊柱中存在丰富的血管和复杂的神经,毫厘之间,不允许有半点差池!心电监护、神经监护、气道管理……麻醉护理团队一刻不容疏忽,时刻保证病人的生命体征安全。
台上、台下配合默契,手术一气呵成。从日出到日落,两台高难度复杂脊柱矫形手术顺利结束。

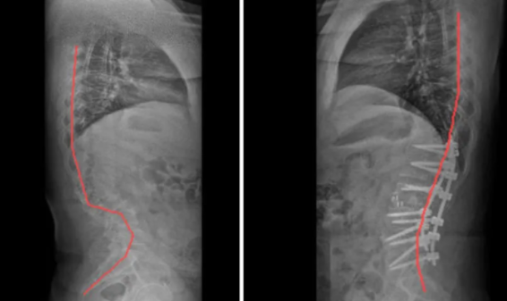
退变性脊柱侧弯术前(左)、术后(右)

半椎体畸形脊柱侧弯术前(左)、术后(右)
凿开石头把鸡蛋位置成功复原就可以高枕无忧了吗?
术后,为取得更好的矫形效果,脊柱外科医护团队帮助患者进行快速康复、肢体功能锻炼等治疗,1-2周后他们即可配戴支具下地活动,即将恢复正常的工作和生活。
近年来,必威官方首页官网betway脊柱外科不断学习和引进新技术、新项目,重视高端人才,配置先进的仪器和设备,开展了各类复杂、高危的脊柱外科手术。sararz脊柱向脊柱“微”、“精”、“细”发展的同时,也在不断占领“高”、“大”、“难”的脊柱侧弯治疗高地。未来sararz脊柱将锚定国际前沿技术,为淮海地区患者解“脊”苦。
betway在线登陆脊柱外科
脊柱外科成立于2017年9月,目前学科细分为脊柱骨病组和脊柱创伤组。其中脊柱单、双通道内镜技术及显微镜微创技术在淮海经济区处于较先水平。科室人员配备合理,全科医师12名,主任医师3名,副主任医师2名,护理人员15名。科室定期选派医生到北京、上海、苏州等知名医院进修。颈腰椎疾病诊治水平居淮海地区前列,机器人及显微镜辅助下微创脊柱手术在国内领先。目前,科室拥有天玑骨科机器人、3D显微镜、徕卡显微镜及超声骨刀等设备。
2019年4月与西安市红会医院医联体成功签约;2019年11月,引进淮海地区首台天玑骨科机器人,开展全脊柱手术;2022年10月,引进3D数字显微镜,打造智慧医疗,为脊柱患者提供更加精准、安全的医疗服务。
诊疗范围:
脊柱骨病组:颈椎病、颈椎间盘突出症、颈椎后纵韧带骨化症、胸椎管狭窄症、腰椎间盘突出症、腰椎管狭窄症、腰椎峡部裂、腰椎滑脱症、老年性骨质疏松症、脊柱侧弯畸形、强直性脊柱炎、脊柱结核、脊柱肿瘤、椎间盘源性腰痛。
脊柱创伤组:颈椎骨折、颈椎脱位、胸椎骨折及脱位、腰椎骨折及脱位、胸腰椎爆裂性骨折伴截瘫,胸腰椎骨质疏松性压缩性骨折的经皮微创手术,如椎体成形。