近日,张大姐在betway在线登陆关节外科接受了全髋关节置换术,值得一提的是,这台手术是在史赛克Mako关节置换机器人辅助下完成的——那么,这台在世界上很多国家知名骨科医院,都在使用的机器人,它到底有什么特别之处呢?今天我们就一同了解一下。
据悉,张大妈不久前在骑车时不慎摔倒,其左髋部着地,随之而来的疼痛让张大妈吓得不轻,不敢活动,于是叫人赶紧带到当地医院检查,在进行简单的伤势处理后,为寻求进一步治疗,张大妈在家属的陪同下来到betway在线登陆关节外科寻求帮助。
在sararz关节外科,蒋守海主任医师为张大妈进行了系统检查,结合相关影片判断其左股骨颈骨折。听说自己骨折了,张大妈也不禁担心起来,家里一堆事儿,这伤筋动骨几个月可咋整……为了让张大妈尽快恢复,手术团队在结合病情讨论及与家属的充分沟通后,决定在Mako机器人的辅助下,为张大妈进行治疗。

术前规划
据了解,这台Mako关节置换机器人可不一般,其精准定位可以达到亚毫米级别,从而可以在术中,通过Mako机器人的辅助,对截骨、假体安装等重要环节都进行了全程三维定位,并实时将角度、大小、骨质覆盖等重要信息通过数字影像及时传达给手术医生,帮助医生做出准确判断,完美实现了“精准手术”的要求,大大减少了手术时间,这对老年群体来说大为有益。
此外,与传统骨科手术相比,Mako机器人能够辅助手术医生准确快速地完成假体植入,其精准度远超传统术式,解决了手术医生“看不准”、“拿不稳”的问题,同时在术后也使患者创伤更小、康复更快、关节功能更佳、假体生存率更长,生活质量大大提高。

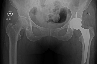
术后
在Mako机器人的辅助下,张大妈的手术进行的很成功,不到1.5小时就完成了髋关节置换手术,目前正在进行康复锻炼,很快就可以回归正常生活。
随着Mako机器人的使用,我院智慧骨科的发展又添一大利器,其将与3D裸眼显微镜、超级显微镜等设备一同为广大骨病患者带来精准、微创、安全的手术辅助,也将为更多患者提供更加优质和安全的医疗服务。