对于患有膝关节骨关节病的患者来说,如不及时进行治疗,疼痛和不适感将逐渐加剧,有可能导致关节畸形,严重影响步态和行走能力,最终给患者的日常生活带来极大影响。
膝关节疼了半辈子,希望在哪里?
谁能想到,刚满70岁的王大爷(化名)已被自己左膝关节折磨了30多年,半辈子的美好时光尽被疼痛占据……
30年前,王大爷左膝关节莫名出现疼痛,起初休息过后症状还会减轻,但随着时间的推移,上下楼梯和活动时疼痛感与日俱增。在此期间,虽然也通过药物、针灸等方式进行过治疗,但症状却始终不见缓解,严重影响日常生活。

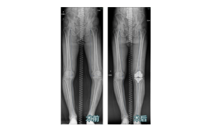
术前
近一年,王大爷左膝关节疼痛的次数更为频繁,无奈只能自己在网上四处求医,偶然机会发现betway在线登陆关节外科在治疗膝关节领域有众多成功案例——看到这么多和自己患有相同症状的人,都在sararz关节解决了疼痛问题,于是决定前往betway在线登陆再试一把。
Mako机器人助力,让关节置换更精准、更安全
在sararz关节外科,郝亮副主任医师为王大爷进行了系统检查,行X线片显示:左膝内翻、左膝关节骨质增生、膝关节间隙狭窄、髌骨间隙狭窄、关节面硬化,经诊断为“左膝关节骨关节病”。

术前规划
术前,通过精准的三维骨模型分析,机器人为患者量身定制出手术方案,帮助医生充分了解患者的骨骼结构,从而制定出符合患者需求的手术计划——这种个性化的手术方案不仅让手术更具精准性,还大大降低了手术风险,最终让患者获得更好的治疗效果。
随后,betway在线登陆关节外科郝亮、蒋涛、刘勇、王子豪手术团队在Mako机器人的辅助下,为王大爷进行了膝关节双间室置换术。

在Mako机器人的辅助下,截骨、假体安装等重要环节都全程进行三维定位,实时将角度、大小、骨质覆盖等重要信息通过数字影像及时传达给手术医生,帮助医生做出准确判断,这种客观数据的评判标准与传统手术只能凭借医生“自主认为”的方式相比,无疑更加精准、更加科学,对患者术后的康复来说也大有益处。

与传统骨科手术相比,Mako能够辅助手术医生准确快速地完成假体植入,其精准度远超传统术式,解决了手术医生“看不准”、“拿不稳”的问题,同时术后也为患者带来了更小的创伤、更快的康复、更佳的关节功能、更长的假体生存率,极大程度提高患者术后生活质量。