什么是膝关节骨性关节炎?
膝关节骨关节炎是膝关节软骨老化退变或损伤导致的一种慢性关节病,以关节疼痛为主要症状,此外,一般还有关节肿胀、蹲起痛、膝关节伸曲受限、上下楼困难以及劳累后疼痛加重等症状,老百姓口中常说的“罗圈腿”,也是其较为直观的一种表现形式。
双膝关节疼痛20年,试遍万般方法苦难医
“打针、吃药、针灸、穿刺……好多方法我之前都试过了,当时也就只能缓解一下,久了之后还是疼!”在betway在线登陆关节外科,正等待出院的张大姐一边拿着手机翻找着自己以前膝关节的照片,一边向临床新住进来的病友讲述着自己双膝关节在这20年来经历的种种苦难……

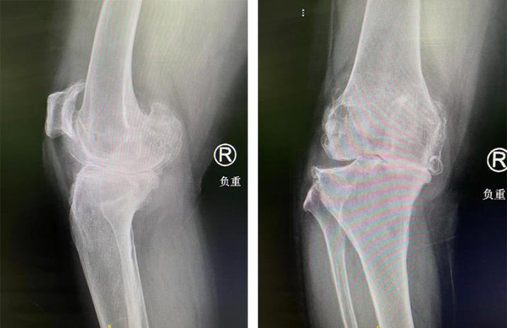
术前
原来,张大姐在20年前双膝关节莫名出现疼痛,尤其是在累了之后,疼痛更是加剧。当时,忙于事业打拼的张大姐觉得这是劳累所致,自己休息休息应该就没事了,所以没放在心上,但随着时间的流逝,双膝关节的疼痛逐渐加重,更是出现关节肿胀、内翻畸形以及活动受限等症状。
这下,可让张大姐警觉起来,开始吃药、打针、按摩等等治疗,起初还有效果,但时间久了又开始复发。直到5年前,张大姐的右膝关节症状加重,出现夜间休息时僵硬的情况,活动范围明显缩小,只能在室内进行活动。即使这样,张大姐的右膝关节有时候疼起来,就连吃镇痛药也无法缓解……
智能导航下全膝关节置换,1.5小时解决内翻及屈曲问题
为求根治自己的膝关节,疼痛难忍的张大姐开始在网上各种“取经”,几番比对后,在家人的陪同下选择来到betway在线登陆关节外科进行一次彻底的手术治疗。

术前
入院后,关节外科郝亮医生为张大姐进行了系统检查,行X线检查提示双膝关节骨关节病。“对于比较严重的膝关节骨性关节炎,尤其是这类经保守治疗后无改善的患者,人工全膝关节置换手术是当下较为针对性的一种治疗方法——用人工关节部件替代损坏的关节,矫正肢体力线,消除膝关节疼痛,维持关节稳定性,从而达到恢复膝关节功能的目的。”郝亮医生介绍道。
随后,郝亮、蒋涛、朱信飞手术团队为张大姐进行了智能导航下右侧人工全膝关节置换术。术中,在智能导航的规划下,精确定位力线位置,辅助手术医生进行截骨及假体安放,最终仅用时1.5小时便完成手术。经测量,患者下肢力线从术前的内翻25°、屈曲畸形10°,至术后内翻0°、膝伸直可达0°、膝关节屈曲至达120°,改善明显。

术后
相较传统手术来讲,以往人工关节置换手术往往要依赖主刀医生的经验,缺乏客观的测量工具,手术很难达到最佳效果,而在智能导航技术的支持下,力线的重建、假体的选择以及准确位置的置入,各项数据的精准化与精细化,是传统手术难以达到的。此外,使用智能导航技术可以使患者在术中出血少、术后痛苦小、恢复速度快!