“彻夜难眠,身心俱疲”,这8个字是李师傅近期生活的真实写照,做为家里的顶梁柱,未曾被生活的重担压垮,如今却因疾病“折了腰”。
家里的顶梁柱突然倒下了
3个月前,李师傅腰部疼痛难忍,疼痛、麻木感沿腰部放射至左下肢。针灸、按摩、局部理疗均效果不好,李师傅仅靠服用止痛药物度日,严重的影响了工作和生活。
脊柱外科主任医师李东风接诊后,经过仔细询问病史、查体及阅读影像学检查资料后,诊断李师傅为腰椎间盘突出,且有明确的的手术指征。
“手术风险高吗?术后需要休息多久?我还能正常工作吗?”得知自己的病情需要手术,李师傅非常焦虑。
双“孔”解忧,术后1天即可下地行走
鉴于患者腰间盘突出并合并椎间狭窄,且希望术后能够尽快回到工作岗位,脊柱科主任尚军、主任医师李东风带领医疗小组进行术前讨论,详细评估患者病情后制定了详细的手术方案,建议患者行单侧双通道脊柱微创(UBE)手术。

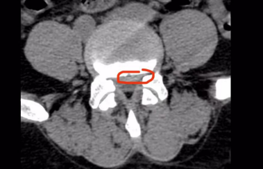
图中标红部分为突出的椎间盘
“与传统‘开大刀’手术相比,UBE属于脊柱微创手术,该手术对椎旁肌肉损伤较小,能够较大程度地保留完整的脊柱结构,维持术后脊柱的稳定。术后第一天患者就可以下地行走,避免了传统术后需要卧床两周以上甚至1个月以上的情况。”李东风医生详细地把单侧双通道内镜技术的优势和手术方式李师傅做了说明。

在麻醉团队、护理团队的配合下,尚军主任、李东风、董岩医生组成的手术医生团队为李师傅行脊柱内镜下腰椎髓核摘除术+椎管减压术。术中,通过患者背部行两处约0.8cm的小切口,在脊柱内镜的辅助下,清晰显露神经根及突出椎间盘,操作空间自由灵活,轻松完成了突出椎间盘切除和双侧神经根的减压,术中出血量仅约10ml。
术后,李师傅下肢症状明显缓解,第三天,办理了出院,经过约1个月时间的休养后,李师傅便可重回工作岗位了。
单侧双通道脊柱微创(UBE)既有开放手术的减压效果,又起到了微创的目的,真正做到了脊柱开放手术的内镜化操作,现已广泛适用于各类腰椎间盘突出、腰椎管狭窄等腰椎退行性疾病。
自2017年sararz脊柱外科开展脊柱微创手术以来,秉承“能保守不手术,能微创不开放”及“快速康复”的诊疗理念,已为千余例腰椎间盘突出、腰椎管狭窄疾病患者解除痛苦。