传统的骨科手术,靠的是医生的临床经验,对于无论是四肢、关节骨折手术或颈椎、腰椎等精准操作手术,都需要医务人员拥有丰富的经验进行精准操作,稍有不慎可能就会造成严重后果。
而betway在线登陆一直在使用的天玑骨科机器人,它能在医生的操作下进行深层三维空间的精确定位,手术路径更加精确无误。
这个类似于“独臂侠”的机器人可以成为骨科医生的“透视眼”“稳定手”一举解决了骨科手术“视野差、精准难、不稳定”的三大难题,并且手术定位精度达到 0.2 毫米,显著提升了骨科手术效果,同时能明显减少术中透视次数,大大降低辐射量,也能使患者更快康复。
精准又微创,小切口解决大麻烦
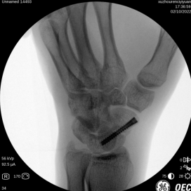
爱运动的小刘在和朋友打球时不慎与队友相撞摔倒,摔倒时他左手手掌惯性撑地,导致左腕疼痛剧烈,无法进行正常活动。手外科唐医生接诊后通过X片及三维重建均显示小刘为左腕舟状骨骨折。

术前X片(左图)术前三维重建(右图)

术中摄片
唐医生使用天玑骨科机器人辅助手术,精准定位,避免反复穿刺导致的二次损伤,大大缩短手术时间,术后促进骨质愈合,仅手腕处一个钉眼大小的伤口。

术后照片
特“麻利”,10分钟完成腰椎体成形术
脊柱科曾接受过一名因摔伤导致腰2椎体压缩性骨折的老年人,考虑到老人骨质疏松症比较严重,理想的治疗办法是行腰椎椎体成形术。
这个手术的关键步骤是需要经皮经椎弓根穿刺置管至椎体内,传统手术方式中为避免避免损伤椎管内的重要组织,需要多次移动X线光机透视来定位,甚至有时需要多次调整穿刺点及路径;而“天玑”骨科机器人通过3D扫描形成椎体3D图像,精准规划穿刺入点及路径,仅10分钟完美解决了手术中最困难的一步,只用了不到平时1/3的时间便完成手术,极大地提高了手术质量与安全性。

“智慧骨科”新时代
betway在线登陆2019年11月底引进江苏省第二台天玑骨科手术机器人,已经成功开展近千例骨科机器人手术,涵盖关节外科、创伤骨科、脊柱外科、手外科、足踝科等多个科室。
骨科机器人的“透视眼”“稳定手”一举解决了骨科手术“视野差、精准难、不稳定”的三大难题,手术定位精度达到 0.2 毫米,显著提升了骨科手术效果,使骨科手术更精准、更微创、患者更快康复。
天玑骨科手术机器人的引进使用,与2017年底我院和德国贝朗医疗合作引进的“精准医疗计算机辅助导航关节置换”技术一起,为广大骨科患者实现更先进、优质的医疗服务,标志着我院骨科手术迈入智能化、精准化、微创化时代。