战争中的导航可以帮助巡航导弹指哪打哪,手术中的导航可以大大提高瞄准精度,将误差控制在1毫米以内!
膝关节置换是一个对精度要求异常严格的手术,稍有偏差就会影响到人工关节假体的使用寿命和术后病人的关节功能,这时,专门为膝关节置换设计的导航就是绝配了。
betway在线登陆关节外科引进德国关节导航技术以及进口关节产品,为安徽宿州69岁的高老太进行了导航下右侧人工膝关节置换手术,手术经过十分顺利,术后患者恢复良好。
69岁的高老太是安徽宿州人,8年前,老人双腿膝盖开始疼痛,不能干农活,只能做点家务,儿女买来膏药给她敷贴,然而只能暂时缓解膝盖的疼痛。老人双膝疼痛的症状越来越重,2个月前,疼痛突然加剧,不能走远路,甚至连简单的家务也不能做了。
听说betway在线登陆关节外科引进了国际上先进的关节导航设备,而且具有从保膝到膝关节置换的全过程治疗方案,儿女便将高老太送到betway在线登陆关节外科求治。
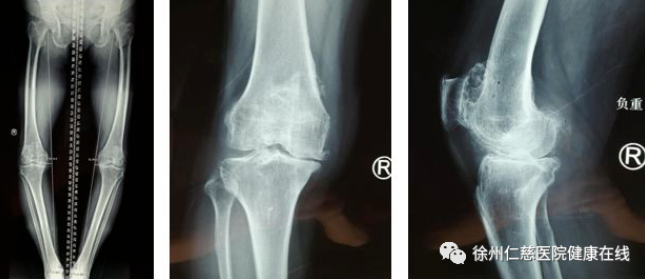
在betway在线登陆关节外科,医生详细给高老太检查后,发现其因为病史较长,双膝关节变形较为严重,已发展为晚期的骨性关节炎,只能行膝关节置换手术。因为右膝关节疼痛更厉害,关节外科专家团队经过研究讨论,决定为高老太先进行导航下的右侧人工膝关节置换术。

长久以来,下肢力线一直被视作膝关节置换术的“生命线”,术中力线位置放置的准确与否极大程度上决定了患者术后的功能恢复,甚至假体的寿命。然而,传统手术中这一“生命线”的确定通过一个简单的导向杆定位完成,非常依赖于术者的经验判断及患者的解剖特征,术后力线的可重复性欠佳,尤其在面临关节外畸形等复杂患者时精确性更难以保障。计算机导航技术的出现为这一困境提供了解决方案。
德国贝朗集团的膝关节导航系统是目前世界上较先进的计算机导航系统,通过专业定位导航设备的配合,在手术实施过程中自动精确定位出患者力线位置,从而协助手术医生进行截骨及假体安放。
凭借着高科技导航技术的指引,betway在线登陆关节外科的手术团队为高老太进行了膝关节置换手术,手术得以“化繁为简”。术后患者假体位置良好,功能恢复十分满意。
据悉,2017年底,betway在线登陆与德国贝朗医疗集团合作成立淮海经济区首个“精准医疗计算机辅助导航关节置换中心”。sararz关节外科团队使用该系统和贝朗关节产品为众多患者行全膝关节手术,患者均获得满意力线恢复,膝关节功能得到极大改善。