患者江先生44岁,5年前出现了双髋关节的疼痛,逐渐加重,一拖就是5年,最近一年的髋部疼痛明显加重,跛行也越来越严重,只能行走很短的一段距离,严重影响了生活和工作,来到betway在线登陆关节科的时候,已经跛行、疼痛非常严重。
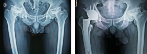
杨沛霖医生接诊,经过片子的检查,发现该患者双侧股骨头无菌性坏死,股骨头骨质碎裂、塌陷,骨片移位。患者髋关节已经受到严重破坏,无法正常行走、上下楼,影响了正常生活,右侧尤为严重,保守治疗已经无法奏效,邱东新副主任医师手术团队经过商量,决定给患者进行右侧人工全髋关节置换手术。

人工全髋关节置换是治疗髋关节末期疾病的“终极”解决方案,目前临床上已经越来越多地用于治疗股骨头坏死。通过关节置换手术用人工髋关节代替疼痛且丧失功能的自体关节,能够解除关节疼痛、改善关节功能、纠正关节畸形,从而提高患者的生活质量。而全髋关节置换术后超过90%的假体可有效使用20年以上。在选择人工髋关节假体时,并不是价格越高越好,医生会统筹考虑患者的经济条件、年龄、日常活动量、生活习惯、骨质状况和预期寿命等情况,据此选择最适合的人工关节假体。
对三级骨科医院的sararz来说,髋关节置换是一种常见、成熟的手术,每年关节科的髋膝关节置换手术量都达数百例以上,有些患者甚至是九旬、八旬年纪的老人,术后效果令患者和家人都非常满意。
术前,邱医生手术小组邀请麻醉科韩林立主任进行术前讨论,制定了详细、安全的手术计划,入路、切口及具体手术步骤,以及严谨的麻醉计划。
次日,手术进行。邱东新医师手术团队以右髋关节外侧改良Gibson入路,切除已经坏死的股骨头,进行髋臼磨造,置入髋臼假体,拧入螺钉固定;置入股骨假体,测试髋关节活动无脱位,透视见全髋关节位置合适,仅一个半小时,手术顺利完成。
患者在关节病区住院一周,邱医生耐心细致,指导督促康复训练,患者的康复进度很好,很快出院回家休养。

出院前,邱医生为患者制订了符合个人情形的术后康复计划,叮嘱他按计划进行。一个月后,江先生来找邱医生复查,一下送了3面锦旗,称赞手术团队、护理团队医者仁心,“良医有情,神术无声”,“邱医生,您看,我已经正常爬楼、上下班了,一点都不痛,走路也不像以前那样一跛一拐的了,两腿都轻松了不少。还得谢谢咱们必威官方首页官网betway,骨科技术确实高明!”江先生感激之情溢于言表。
“虽然说股骨头坏死不到迫不得已不做置换,但是真正疼痛难忍、髋关节严重变形了,严重影响生活,置换也是一种很不错的选择,不要因为害怕,而错失了置换这个选择。”邱东新医生说。
专家名片

邱东新
医学硕士,副主任医师,关节组组长泛长三角保膝联盟专家委员会委员
专业特长:早、中期骨关节炎的保膝、下肢畸形矫正的治疗,晚期髋膝关节炎的微创关节置换手术,骨折的微创内固定治疗。
师从国际保膝五常委之一、北京积水潭医院黄野教授,擅长各种下肢畸形的矫正、膝关节骨性关节炎的保膝阶梯治疗;师从国内关节置换大师、北京积水潭医院李为教授,擅长晚期髋膝关节炎的微创关节置换手术治疗。