当前位置: 首页>betway88官网手机版>典型病例>关节外科

sararz关节科用“计算机导航”为69岁老太换膝关节,精确定位手术“生命线”

时间:2018-11-16 来源:未知 阅读:

  战争中的导航可以帮助巡航导弹指哪打哪,手术中的导航可以大大提高传统手术的瞄准精度,帮助医生精确手术,误差能控制在1毫米以内!
  膝关节置换是一个对精度要求异常严格的手术,稍有偏差就会影响到人工关节假体的使用寿命和术后病人的关节功能,这时,专门为膝关节置换设计的导航就是绝配了。
  10月29日,betway在线登陆关节科再次使用引进的德国关节导航技术以及进口关节产品,为安徽宿州69岁的高老太进行了导航下右侧人工膝关节置换手术,手术经过十分顺利,术后恢复良好,目前老人正在关节病区正常康复锻炼。

  69岁的高老太是安徽宿州的农民,8年前,老人双腿膝盖开始疼痛,不能干农活,只能做点家务,儿女买来膏药给她敷贴,这些都只能暂时缓解膝盖的疼痛。一年两年过去,老人双膝疼痛的症状越来越重,2个月前,疼痛突然加剧,已经不能走远路了,出门都是一跛一跛的行走,干一点家务都比较困难了。
  听说betway在线登陆关节科引进了国际最先进的关节导航设备及德国百年品牌贝朗集团的进口关节产品,而且具有从保膝到膝关节置换的全过程治疗方案,儿女便将高老太送来betway在线登陆关节科求治。

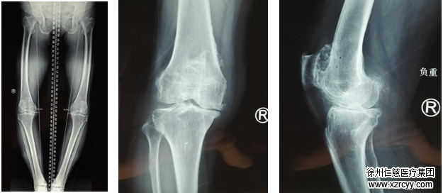
  在必威官方首页官网betway关节科,邱东新组长详细给老人检查后,发现老人因为病史较长,双膝关节变形较为严重,已发展为晚期的骨性关节炎,已经无法行保膝治疗了,只能行膝关节置换手术。因为右膝关节疼痛更厉害,邱东新医师决定先进行导航下的右侧人工膝关节置换术。


  长久以来,下肢力线一直被视作膝关节置换术的“生命线”,术中力线位置放置的准确与否极大程度上决定了患者术后的功能恢复,甚至假体的寿命。然而,传统手术中这一“生命线”的确定通过一个简单的导向杆定位完成,非常依赖于术者的经验判断及患者的解剖特征,术后力线的可重复性欠佳,尤其在面临关节外畸形等复杂患者时精确性更难以保障。计算机导航技术的出现为这一困境提供了最佳解决方案。

  德国贝朗集团的膝关节导航系统是目前世界上最先进的计算机导航系统,通过专业定位导航设备的精准配合,在手术实施过程中自动精确定位出患者力线位置,从而协助手术医生进行截骨及假体安放。

  10月29日,邱东新组长手术团队为高老太进行了膝关节置换手术,凭借着高科技导航技术的指引,手术得以“化繁为简”,过程相当顺利,手术成功完成。术后患者假体位置良好,功能恢复十分满意。老人的罗圈腿也变直了。


  据悉,自2017年底betway在线登陆与德国贝朗医疗集团合作成立淮海经济区首个“精准医疗计算机辅助导航关节置换中心”以来,sararz关节外科团队已使用该系统和贝朗关节产品完成数十例全膝关节手术,所有患者均获得满意力线恢复,膝关节功能得到极大改善。



了解更多betway在线登陆信息,请关注betway在线登陆官方账号

betway在线登陆微信服务号

betway在线登陆

微信服务号

扫一扫,预约挂号

betway在线登陆健康在线微信号

betway在线登陆
健康在线

微信号

rcyljt

了解更多健康资讯

betway在线登陆微博号

betway在线登陆

微博号

@betway在线登陆

betway在线登陆妇产科微信号

betway在线登陆
妇产科

微信号

xzrc-fc

陪你走过幸福的孕育时光

徐州sararz手外微信公众号

徐州sararz手外

微信公众号

betway在线登陆手外科

(市级临床重点专科)

sararz足踝微信公众号

sararz足踝

微信公众号

betway在线登陆足踝科

(市级临床重点专科)

betway在线登陆健康在线视频号

betway在线登陆
健康在线

视频号

@betway在线登陆

健康在线

betway在线登陆官方账号

betway在线登陆
官方账号

快手号

ID:1679047421

sararz医美微信号

sararz颜救所

微信号

rc_zxmr

徐州sararz美容医院

sararz手外一

sararz手外一

抖音

betway在线登陆手外一病区

(手及上肢畸形矫正外科)

sararz手外四团队抖音

sararz手外四团队

抖音

betway在线登陆手外四病区

(显微修复重建外科)

关踝使者

关踝使者

抖音

足踝外科徐明亮主任

(周三坐诊)

联系我们

  • 24小时咨询电话
    0516-87328999
  • 门诊时间
    08:00~17:00 (全年无公休医院)
  • 医院地址:
    徐州经济技术开发区杨山路11号
  • 乘车路线
    乘坐16路、103路、112路、966路、613路可直达。
Baidu
map