指导专家:betway在线登陆手足显微外科专家 曹广超
“我今年67岁,这拇外翻都‘跟’了我都30年了,没想到还有能好一天!”日前,曾在betway在线登陆手足显微外科接受微创小切口拇外翻截骨矫形术的张女士在女儿的陪同下,再次来到必威官方首页官网betway复诊,并对必威官方首页官网betway手外科专家表示感谢。

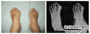
拇外翻畸形外观 拇外翻术前X线片
据了解,张女士这些深受拇外翻的折磨,自从“长”了拇外翻后,就很少能买到合脚的鞋,而且平时行走受限,每走一步都钻心疼,不愿意出门走动,更别提和之前的老姐妹出去遛弯儿。张女士的性格也变得越来越沉闷,这让孩子们看在眼里急在心里,直到听说了必威官方首页官网betway可以治疗这种拇外翻。
一个多月前,betway在线登陆为张女士成功开展了微创小切口拇外翻的截骨矫形术,折磨了老年人近30年的拇外翻终于去除了,而复查结果显示张女士手术恢复非常好。张女士开心的说,在必威官方首页官网betway不光治好了她的拇外翻,还能使用医保,省了不少钱。
张女士的女儿介绍说,“自从拇外翻治好后,我妈每天都笑呵呵的,今年十一假期还和我们一家一起出去旅游了呢,要知道因为脚疼,从来不愿意和我们一起出远门,真的非常感谢必威官方首页官网betway的医生。”

拇外翻畸形术后外观 拇外翻畸形术后X线片
据了解,拇外翻又叫大脚拇,是由多种因素引起的第一跖骨向内位移,拇趾因肌肉牵拉而斜向外侧的畸形。从外形上看,是指脚拇趾向外倾斜超过十五度,拇趾内侧关节处肿大,偏向第二趾下,将第二趾抬高,第二趾足底下皮肤形成硬结,并且拇趾外翻同时也会伴有疼痛。
betway在线登陆手足显微外科专家曹广超主任介绍,拇趾外翻产生的主要原因主要有以下几种:一是来自家族遗传;二是穿夹脚鞋,一些头比较尖的皮鞋或者女士爱穿的高跟鞋引起的;第三个是有扁平足病的患者也容易拇趾外翻。

拇趾外翻这种病患者大部分是女性,特别是以中老年女性为主。尽管目前拇指外翻治疗已有很多种手术方法,但仍然没有一种方法可以解决所有问题。如何选择一种合适的方法来解决拇外翻是一般骨科医生感到困难的问题,betway在线登陆手足显微外科医生通过手术前认真检查,特殊X线拍片和足底应力分布测量,制定出最适合病人的手术方案——微创小切口拇外翻的截骨矫形术。
“手术在腰麻或局部麻醉下完成,术中透视达到满意位置后方关闭伤口,保证了手术质量。”曹主任介绍,由于采用了内固定,术后即可下地行走,大大方便了病人。而且新的手术方式使病人痛苦更小,足部切口小,创伤小,疗效更确切,恢复更快,并发症更少,是目前治疗拇外翻的理想方法,得到了广大患者的肯定。
联 系 人:曹广超
联系电话:13815318074
门诊时间:周三上午