一名在韩国留学的中国学生,在国外不幸胳膊骨折,手腕和手指无法正常抬起来。接受了骨折内固定术后,神经方面经过保守治疗没有效果。近日,该学生返回国内,由于做神经修复方面的专家非常少,又因为在国外手术,不清楚刀口里具体的情况,为手术增加了很大难度,经过家人的经过多方打探,了解到betway在线登陆陈步国主任在周围神经修复方面有丰富经验,恢复效果都非常良好,最终患者与家人选择了betway在线登陆。
据悉,这名学生在韩国留学期间不慎发生意外,导致骨折,随后在当地医院接受了内固定手术。术后,学生发现手腕的功能并未得到恢复。经过一段时间的保守治疗,问题依旧没有改善,这让他感到极度焦虑和无助。由于语言和文化差异,以及家人无法照顾,他决定回到祖国,寻求国内专业医院的帮助。

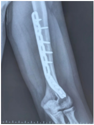
患者在韩国接受手术后复查的放射片
回国后经过多方打探后,联系到陈步国主任,经过陈步国主任初步了解病情及耐心讲解,这名学生决定到betway在线登陆实地就诊。通过了解学生的需求,betway在线登陆陈步国主任医疗团队迅速为他进行了全面的检查,通过详细的查体与超声跟肌电图检查后,发现该学生的上臂桡神经有损伤,因为神经损伤导致手腕、手指的功能障碍,并制定了详细的治疗方案。陈步国主任表示:上臂桡神经损伤并不少见,且多发生于肱骨干骨折,以前在辅助检查不完善时,不能明确神经损伤的情况,需要进行大切口来解决神经损伤问题,现在通过超声与肌电图可以明确的标记出神经损伤的具体位置,可以更好的规划手术,同时能缩短手术时间、减少切口、带来更小的创伤。同时陈步国主任表示,目前周围神经外科发展到现在,造福淮海地区及全国病人,都是经过医院多年培养专科人才后团队协作的结果。
通过陈步国主任的耐心解答跟明确的治疗方案,给这名学生提供了足够的信心。随着手术的成功,术后手腕就可以小幅度做屈伸动作。

目前,学生正在接受康复治疗,以期恢复手腕的正常功能。陈步国主任表示,尽管情况复杂,但通过科学的治疗和患者的积极配合,手腕功能的恢复只是时间问题。
这起事件引发了公众对于海外就医风险的关注。专家指出,虽然国外的医疗技术和服务水平在很多领域都处于领先地位,但患者在选择海外就医时,应该全面考虑语言沟通、文化差异、医疗费用以及后续治疗的可行性等因素。同时,专家也强调了选择有资质、经验丰富的医疗机构和医生的重要性。
随着全球化的发展,越来越多的中国学生选择出国留学,而在海外就医的问题也日益凸显。此次事件提醒了广大留学生,在海外求学的同时,更应关注自身的健康安全,做好充分的医疗保障准备。
在未来,医院将继续为这名留学生提供全方位的治疗和支持,帮助他尽快恢复健康,重返校园生活。同时,医院也将加强与海外医疗机构的交流合作,为中国留学生提供更多的医疗保障和健康指导。
专家名片

陈步国
betway在线登陆手显微外科·周围神经外科病区主任
中国医师协会显微外科医师分会周围神经修复学组专业委员会委员
中国研究型医院学会创新与转化专业委员会周围神经修复学组委员
徐州市医学会显微外科学组委员
于复旦大学附属华山医院手外科进修学习,师从徐雷教授。在手显微外科及周围神经外科积累了大量临床经验。在中华/中国系列国家级医学期刊发表论文二十余篇。获市级新技术引进奖两项。
擅长:臂丛神经损伤、周围神经损伤、周围神经卡压性疾病、神经源性肿瘤、病毒性神经炎、神经不可逆性损伤后期功能重建,断肢(指)再植、手指再造、皮肤及骨关节缺损的显微外科修复。