脚是人们丈量世界的工具,而脚趾痛到无法走路这真是一件让人十分痛苦的事。
穿不进合适的鞋子,每走一步都像在刀尖上舞蹈,
爪形趾是由于肌肉和骨骼的生长不平衡引起的。在日常的活动中,人们的脚趾不适当的受力,就容易一起形成爪形趾。
关节炎、糖尿病、神经性病变等,也会导致前足许多部位畸形,包括爪形趾。而且长时间穿太夹脚的鞋,会使得爪形趾的症状更加严重。
小李今年18岁,因为高弓马蹄足导致行走不变,入院治疗,后来经过手术后终于能把脚放平了,但唯一有点遗憾的是还有爪形趾畸形,走路疼痛,马上上大学了,就想再来把脚趾做好,能像所有普通的大学生一样。
想趁着这次取内固定的时候,把剩下毛病一起解决掉。
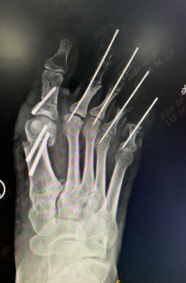
经过检查,小李的右脚除了爪形趾导致的走路疼痛外,还因为有拇外翻导致了穿鞋困难,为了帮助他回归正常的生活,手术团队准备为他进行拇外翻+爪形趾畸形矫正的手术。

术前 术后即刻
术后,复查DR片显示,小李的脚步畸形已得到矫正,经过一段时间恢复,行走步态已经和常人无异。看到脚趾终于恢复正常,再也不用忍受脚趾畸形的折磨。

爪形趾也可称为仰趾畸形,它是指跖趾关节过伸,近侧指间关节过屈的一种畸形,从侧面看像是一个倒“V”型,通常情况下,第二趾发生较其它足趾多,其发病女性多于男性,可能与穿鞋习惯及拇外翻发病多有关。