出院患者回访制度,是医院长期坚持的一项服务。活动开展以来,院长、主任、管床医生都曾亲自来到患者身边,了解病人术后的情况,进行康复指导,建立健康档案,实施长期的康复关怀,将医院的优质服务延伸到患者家中。
近日,我院组织足踝外科医生对出院患者进行了上门回访和康复指导,实地了解他们术后的康复情况,进行现场功能锻炼指导,再次见面,医患之间格外亲切。

崴脚拖成终末期关节炎
十多年前,赵大叔左脚崴了一次,疼了很久,但一直没有正规治疗过,也就敷敷膏药,休息几天,慢慢的踝关节状况越来越差,最后拖成了终末期踝关节炎。当时来院的时候赵大叔脚部情况很差,距骨坏死,外侧副韧带有陈旧的疤痕,踝关节的周围都是骨赘,而且软骨的损伤是比较重的,踝关节正常的关节面已经不存在了,每走一步都疼痛不已。

对于终末期踝关节炎,临床治疗有两种方法,一是关节融合,就是将关节固定,患者踝关节不能再曲伸,二是全踝关节置换,可以保留踝关节功能。经过沟通,大叔选择了可以保留踝关节活动的全踝关节置换术。

这次家访的时候,赵大叔通过锻炼已经具备了踝关节正常跖曲和背伸的功能,曹广超主任通过查体发现小腿肌肉力量仍有不足,后续还要通过锻炼来加强小腿肌肉的力量。
人工踝关节置换术是近年来临床一项新技术,目前只在国内一些大城市医院开展。betway在线登陆2022年底引进此项技术,术前根据患者踝关节三维CT数据,运用数字骨科技术,设计并打印个体化截骨导板,术中应用截骨导板进行定位、截骨,减少了术中X线透视次数,缩短了手术时间,保证稳定性,极大提高了手术精准度和成功率。
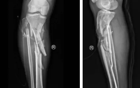
本要截肢的腿保住了
小张一场意外车祸导致小腿胫骨粉碎性骨折,在必威官方首页官网betway进行了骨延长手术,得知曹广超主任来看望他后,早早来到门口等待。

“当时医院都要截肢了,多亏转到了sararz,保住了这条腿,现在好的很,开车带孩子去云南玩,这要截肢了哪敢想。”

胫骨粉碎性骨折,伴有腓总神经损伤

骨延长术后
通过现场回访,我们能更深入地了解患者的康复情况和需求。一些患者即使路途遥远,也坚定地选择了我们,我们当然不会辜负他们的信任。面对患者的感激之情,我们医护人员表示:“每一位患者都是我们关心的对象,我们的工作就是全力帮助患者减轻病痛,尽早让他们康复,回归家庭和社会。”
知足关踝,一年一度家门口免费看名医
如果您或您的家人正饱受足部疾病的困扰,一定抓住这一年一度的机会!
就在4月20日,值2024 SICOT中国部足踝外科学会高峰论坛暨第五届淮海足踝论坛论坛召开之际,全国知名足踝专家汇集betway在线登陆,平时一号难求的专家大咖,这次在家门口免费义诊。

去年的义诊得到了周边苏皖鲁疑难重症患者的热切响应,当日200多位患者得到专家的一对一诊疗,让许多患有足踝创伤、畸形、疼痛病疑难患者免去路途奔波,在家门口免费看名医、解病痛。
今年,上海同济大学附属同济医院、北京大学第三医院、北京大学人民医院、四川大学华西医院、复旦大学附属华山医院、西安交通大学附属红会医院等全国知名足踝专家、教授来到betway在线登陆,为饱受足踝部疾病困扰的人群免费义诊,机会不容错过!
义诊信息
时间:4月20日(周六)
地点:betway在线登陆
预约电话:0516-87328999