双手麻木无力,肌肉萎缩,连拿筷子夹菜都成问题,就一定是得了肘管综合征吗?近日,刘女士(化姓)连吃饭都需要人帮助,这到底是得了什么病呢?最终,在betway在线登陆诊断出,原来这是一种叫“颅底凹陷症”的疾病在作祟,如果不及时治疗患者将面临瘫痪……最终在betway在线登陆多学科专家团队的努力下,刘女士解除了危机。
疑问:做了肘管综合征手术病情居然加重了?
50岁的刘女士,前段时间出现了右手掌侧、环指尺侧及小指麻木无力的情况,拿筷子吃饭都很费劲。原来刘女士早在一年前左臂先出现了麻木无力,肌肉萎缩等症状,在当地医院被诊断出是肘管综合征并按照肘管综合征来进行手术治疗。刘女士没想到手术不但没治好,反而症状逐渐加重。最近右手也逐渐出现了疼痛麻木无力的症状,左右手握力变差,夹菜、写字等精细活动困难。当地医院诊断为颈椎病,医生建议进行手术。
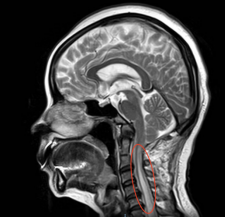
刘女士一家觉得颈椎手术风险太大,保险起见,刘女士慕名找到betway在线登陆周围神经修复外科,希望靠手外科医生丰富的门诊经验帮她解决这一难题。手外科陈步国主任不单纯考虑是肘管综合征,随后便让刘女士拍了头颈部核磁,这才发现刘女士竟患有“脊髓空洞症”。随后陈主任对刘女士这一情况启动了多学科会诊,结合影像资料,终于找到真凶,原来这的确不是单纯的肘管综合征,也不是所谓的颈椎病,而是颅底凹陷症。
抉择:保守治疗还是冒险手术?
据神经外科郭宗扬主任介绍,颅底凹陷症不多见,这主要还是因为大脑内中枢神经先天性受到压迫,致使大脑部分区域“工作失灵”。

入院后考虑手术部位在小脑枕骨大孔区,紧靠延髓呼吸中枢、椎动脉,手术难度极大。但是如果不及时手术,患者可能会面临瘫痪继续加重的情况。该如何抉择呢?只有放手一搏,冒风险手术为患者赢得生机。
攻关:如何打通“生命通道”?
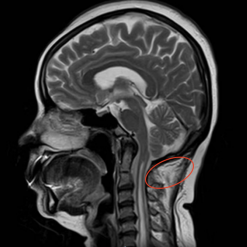
术前,郭宗扬教授和神经外科董伟主任带领团队制定了周密的手术计划,决定为患者施行“开颅后颅窝减压术”。术中在郭宗扬教授的指导下,神经外科董伟主任娴熟的避开椎动脉,保护好脊髓,使用超声铣刀将寰椎后弓切除、枕骨大孔扩大,后颅窝充分减压,患者的“生命通道”被重新打开,受压的脊髓重新膨起,出血仅100毫升,所有的医护终于松了一口气。

术后患者上肢感觉较术前明显轻松有力,疼痛麻木感明显缓解,恢复良好,可以自己行走,目前已经出院回家休养。
提醒:出现双腿麻木注意排查颅底凹陷症
专家提醒,如果出现行走不稳、肢体麻木无力等症状,不仅要考虑常见的腕\肘管综合征、颈椎病、腰椎间突出症等,也要当心颅底凹陷症。据郭教授介绍,齿状突向后向上的病人要前入路(从口腔),而这个病人是寰枕融合畸形,是从延髓的后方向前压迫而造成的症状。若患者颈部疼痛、四肢乏力、麻木、四肢或者双下肢感觉分离即疼温觉减退,触觉存在,应考虑合并脊髓空洞症。尽管它的发病率不高,但会引起严重的后果。要早发现、早诊断、早治疗,不要病急乱投医以延误病情。
专家介绍

郭宗扬主任医师
技术职称国家3级,南京医科大学兼职教授
对重度颅脑损伤及脑出血的救治有丰富的临床经验。
专业特长:神经外科的常见病,疑难病的诊断及治疗,颅内肿瘤,脊髓肿瘤手术治疗,脑血管畸形及颅内动脉瘤手术治疗。

董伟 主任医师
神经外科主任
江苏省医学会神经外科分会神经重症学组委员
徐州市医学会神经外科分会委员
在省级专业期刊及核心期刊杂志上发表论文10余篇。
专业特长 : 各种重型、特重型颅脑损伤及高血压脑出血病人的手术治疗;显微镜下大脑凸面脑膜瘤切除术,显微镜下大脑半球胶质瘤切除术,显微镜及神经内镜辅助下经鼻、蝶垂体肿瘤切除术;部分动脉瘤开颅加闭术等。