王大姐术后第三天出院走路视频
43岁的王大姐20年前就发现双足踇趾外翻畸形,当时不怎么疼痛,一直没有理会。但她的双足踇外翻畸形随着年龄增长日益加重,近2个月来感觉右脚一穿鞋就挤得疼,行走时更加疼痛难忍,坐下来脱掉鞋子疼痛症状才缓和点。右脚的疼痛严重影响了王大姐的生活和工作,她忍不下去了,打听到betway在线登陆有专门的足踝科,于是前来治疗。

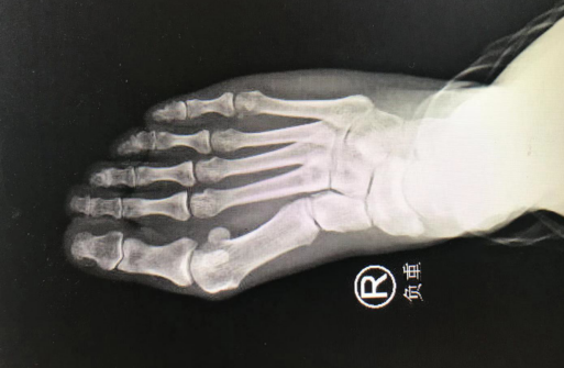
正好是足踝科曹广超主任坐诊,曹主任给王大姐做了仔细检查,又看了片子,发现其右足踇趾自趾跖关节向外偏斜移位,前足变宽,第1跖骨头内侧膨大,踇囊已经形成,局部红肿,一碰就痛,右足第1跖趾关节内侧、第2趾跖侧有轻度胼胝体形成,跖趾关节活动受限。诊断为双足踇外翻、右足踇囊炎。曹主任评估了一下,王大姐的右足踇外翻,可以通过微创手术矫正与解决疼痛。

sararz足踝科的微创踇外翻手术,采用第三代微创治疗踇外翻技术,利用4毫米进口超声磨锯微创截骨,不到一厘米切口,自带降温可以更好地保护骨骼血运,截骨处更快愈合,手术全程几乎无血渗出,术后第一天患者就可以下地,两三天就可以出院。半年来,我院足踝科已经利用第三代微创治疗踇外翻技术为数十位患者进行了手术,术后效果都很不错,患者因此恢复了正常的工作与生活。

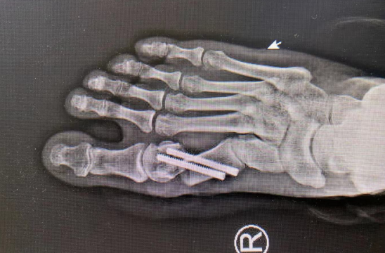
很快,曹广超主任胡帆医生手术小组给患者进行了右足微创踇外翻手术,麻醉师采用超声引导下神经阻滞,手术医生通过不到一厘米切口,切除增生的踇囊,利用4毫米进口超声磨锯微创截断跖骨,完美修整踇外翻。

术后第二天,王大姐完全感觉不到痛了,穿上足踝科配置的前足免负重鞋,下地行走,心情很轻松。第三天,出院前,王大姐特地和家人来到医生办公室,在走廊上轻轻松松走了两个来回,给曹主任看。曹主任看了看:“恢复的不错,回家再锻炼一段时间,就可以恢复正常工作生活了。”又仔细叮嘱:为了更好地康复和预防拇外翻的复发,要做好充足的功能锻炼,比如做好拇趾以及其他脚趾的主动活动,练习足内在肌以及踝关节周围的肌肉力量,另外,需要家属辅助帮助活动拇趾以及周围的其他关节,恢复这些关节的活动度。完全康复之后,尽量穿前脚掌宽松、舒适的鞋,最好不要穿高跟鞋。还要持续地做相应的体育锻炼,比如步行、跳绳等。
“曹主任,谢谢您,我这只脚现在觉得特别轻松,手术做得很好,回家一定好好锻炼,将来那只脚也来找您做!”王大姐说。
微创外科(MIS)
是近年来发展迅速的外科技术,因其损伤小、患者康复快以及良好的美容效果,成为未来骨科学发展的目标之一。它追求的不仅是小切口,而且强调尽量减少手术对周围组织造成的创伤和对患者生理功能的干扰,降低围手术期并发症,促使患者早日康复。
必威官方首页官网betway足踝外科
在淮海经济区规模较大,目前已发展为两个病区(含矫形重建外科),约120张床位,医生团队既掌握显微外科技术进行皮瓣创面修复,又能利用Ilizarov骨科技术进行肢体矫形和骨延长,集中开展足踝部先天及后天性畸形如踇外翻、马蹄足等,足踝部骨折及关节的损伤、血管神经肌腱韧带损伤的治疗、疼痛治疗等,以及踝关节镜微创治疗。
积极开展国内外学术交流,与国内知名骨科医生联盟——泉医生集团、北京积水潭医院、上海同济医院、西安红会医院等国内知名三甲大院开展长期交流合作,定期邀请国内外足踝专家来院坐诊指导,选派骨干力量前往进修,不断提高专科诊疗及科研水平,已发展成为集门诊、手术、护理、矫形支具、康复及人才培养于一体的区域性足踝外科诊疗中心。
每年举办高质量的足踝外科学术会议,向业内推广先进经验与技术,积极推动淮海经济区足踝外科事业的发展。
专家名片

曹广超
足踝科一病区副主任,毕业于东南大学。
SlCOT中国部足踝外科学会第二届委员
亚太足踝外科医师协会中国区委员
中国医师协会显微外科医师分第一届委员会秘书
中华医学会骨科学分会足踝外科学组青年委员
中国修复重建外科专业委员会皮瓣外科学组委员
中国糖尿病足联盟委员
从事手足显微外科工作十余年,并于同济大学附属同济医院、无锡手外科医院进修学习,在国家级医学期刊发表学术论文十余篇。2008年成功完成省内首例“预构皮瓣修复足底撕脱伤”,提出新的术式修复足底撕脱伤, 《预构感觉皮瓣修复足跟软组织撕脱伤》一文,在《中国修复重建外科杂志》第八届“三优”评选活动中被评为优秀论文。专业特长:足部的显微修复、断肢、断趾再植、Pilon骨折、Lisfranc损伤、踝关节骨折,跟骨,距骨骨折,平足,高弓畸形、踇外翻、跟腱断裂、踝关节运动损伤、踝关节镜。