60岁的孙大姐家住贾汪紫庄镇,孙大姐20年前就发现自己两脚有踇趾外翻畸形,当时还不怎么疼痛,也就没大重视它,这些年,孙大姐的畸形不断加重,疼痛程度也在加重,2个月前突然疼痛难忍,左足疼痛更剧,到了鞋子得穿大2号,一走路就痛苦不堪的地步。打听到betway在线登陆有专业的足踝外科,于是前来求治。

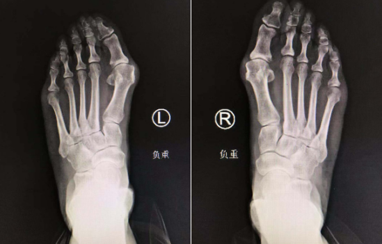
足踝外科曹广超主任接待了孙大姐,给她做了详细检查。孙大姐左足较右足畸形程度更严重些,踇趾都自跖趾关节向外侧偏斜移位,前足变宽,第一跖骨头内侧膨大,踇囊形成,已经是重度拇外翻程度。关节囊的挛缩,肌肉的挛缩,韧带的紧张,造成畸形难以复位。像孙大姐这样,已经出现关节受损、严重跖骨痛、僵硬性畸形的患者,只有通过矫形手术才可以解决足部的畸形和疼痛问题。
曹主任很快安排孙大姐住院,进行各项术前检查,第二天就给孙大姐施行了双足踇外翻矫形手术。

术中,曹广超主任苏省王岩岩医生手术小组依次切除患者左右足增生的踇囊,切除跖骨头骨赘,对第一跖骨做chevron截骨,推挤跖骨下半向外平移,充分松解踇内收肌。手术做得很细致、成功。

术后,孙大姐被送入足踝病区康复,得到了医护们细心周到的治疗和照顾。每天查房时,曹主任都要仔细看看她足趾的血运情况,孙大姐的康复情形很理想,每一天都在进步,一周后就穿着前足免负重鞋下地行走,如今,孙大姐已经出院,曹主任说3个月后孙大姐就可以像常人一样自如行走,进行体育运动。
betway在线登陆足踝科,江苏省成立较早,淮海经济区规模较大,目前已发展为两个病区,约120张床位,医生团队既掌握显微外科技术进行皮瓣创面修复,又能利用Ilizarov骨科技术进行肢体矫形和骨延长,借助北京积水潭医院、北京同仁医院的专家技术支持,集中开展先天及后天性畸形、踝足关节外伤后或不明原因引起的疼痛的治疗;开展踇外翻、足踝部骨折及关节的损伤、血管神经肌腱损伤的治疗、韧带损伤、踝关节脱位、足踝部创面的修复及足部的功能重建等工作,以及踝关节镜微创治疗。

积极开展国内外学术交流,与国内知名骨科医生联盟——泉医生集团、北京积水潭医院、上海同济医院、西安市红会医院等国内知名三甲大院开展长期交流合作,定期邀请国内外足踝专家来院坐诊指导,选派骨干力量前往进修,不断提高专科诊疗及科研水平,已发展成为集门诊、手术、护理、矫形支具、康复及人才培养于一体的区域性足踝外科诊疗中心。
每年举办高质量的足踝学术会议,向业内推广先进经验与技术,积极推动淮海经济区足踝外科事业的发展。
专家名片

曹广超
副主任医师
betway在线登陆足踝外科副主任,毕业于东南大学。中华医学会骨科学分会足踝学组青年委员,SlCOT中国部足踝外科学会委员,亚太足踝外科医师协会中国区委员,中国修复重建外科专业委员会皮瓣外科学组委员,中国医师协会显微外科医师分会显微足踝外科专业委员会秘书,从事手足显微外科工作十余年。并于同济大学附属同济医院、无锡手外科医院进修学习,在国家级医学期刊发表学术论文十余篇。2008年成功完成省内首例“预构皮瓣修复足底撕脱伤”,提出新的术式修复足底撕脱伤, 《预构感觉皮瓣修复足跟软组织撕脱伤》一文,在《中国修复重建外科杂志》第八届“三优”评选活动中被评为优秀论文。
专业特长:足部的显微修复、断肢、断趾再植、Pilon骨折、Lisfranc损伤、踝关节骨折,跟骨,距骨骨折,平足,高弓畸形、踇外翻、跟腱断裂、踝关节运动损伤、踝关节镜。