刚过30岁的李雅(化名)怎么也没想到,以往开玩笑常提到的“满地找牙”,会真实发生在自己身上。不过,这两颗门牙不是“笑掉”的,而是遭遇意外,迫不得已“提前下岗”。
车祸后,吐出一堆白色“小石子”
2019年3月的一天,准备骑车外出的李雅,遭遇了意想不到的一幕。
突如其来地撞击,将毫无防备的李雅瞬间带倒,面部重摔到汽车前保险杠上。“当时懵了,不知道疼不疼了,只是觉得脸部和嘴这个地方发木。”一阵剧痛后,李雅察觉嘴里有铁锈味,吐出来一看,血沫夹杂着若干被浸红的白色“小石子”。
意识到门牙被撞碎的李雅,在肇事司机的帮助下,小心翼翼挑出碎牙并用纸巾包裹住,紧急赶至betway在线登陆口腔科接受治疗。
接诊后,徐晓欣主任团队第一时间为李雅做了检查,发现其上颚左右两颗侧门被撞成若干大小不等的小块。拍片后发现牙根受损很严重,已不具备修复条件。

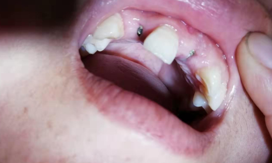
(图为种植牙治疗初期照片,明显可以看出,左右两侧门牙缺失)
两颗门牙撞得稀碎,不具备修复条件
“没了门牙,笑起来两个黑洞,那多难看啊!这怎么办?”门牙毕竟关于形象工程,两颗牙齿被黑洞代替让爱美的李雅很难接受。
考虑李雅年轻、牙槽骨完好等情况,徐晓欣主任给出建议:“做种植牙吧!”
种植牙也叫人工种植牙,是指通过医学方式,将与人体骨质兼容性纯钛金属经过精密的设计,制造成类似牙根的圆柱体或其他形状,以外科小手术的方式植入缺牙区的牙槽骨内。由于人工牙深植牙槽骨内,种植牙可承受正常的咀嚼力量,功能和美观上几乎和自然牙一样。
“医生,我还想问个问题,种植牙究竟能用多久?”针对李雅关心的种植牙寿命问题,徐主任说:“世界上第一例尝试接受种植牙的患者,瑞典人Gosta Larssor,他的这颗种植牙整整为其服务了42年。而现在保持种植牙最长使用寿命记录的是瑞典人Sven Johansson,现在种植牙已经陪伴他整50年了。”这代表着种植牙的最长使用记录每天都在刷新。

(红色箭头标注两颗种植牙,外形和功能,几乎和自然牙一样。)
sararz口腔科用种植牙让她重展笑颜
在充分了解她的诉求后,结合其口腔条件,徐晓欣主任团队为李雅设计了术前数字化设计、术中应用数字化导板、术后用数字化取模的种植方案。
按照安装种植体(人工牙根)-基台(连接部件)-上部结构(假牙)等3个步骤,历时6个月时间,李雅两颗“提前下岗”的门牙“重新归位”。
看着与自然牙几乎一样的种植牙,久违的自信笑容在她脸上重新绽放:“见过的亲戚,都夸做得特别好,跟真的一样,看不出来。”
最后需要提醒的是,种植牙对医生技术和设备有着很高的要求,且术前要与医生进行的充分沟通,因此建议患者选择正规的医疗机构接受治疗。此外种植牙后期的维护也是相当重要的,因此,种植患者的菌斑控制和清除必须结合定期的复查和专业的清洁,如手工机械洁治,激光治疗,喷砂及氯己定冲洗等。