对于膝关节、髋关节人工假体置换术人们听说的较多,可对脚上的人工跖趾关节置换术,很多人闻之未闻。近日,betway在线登陆足踝外科率先成功在淮海地区开展跖趾关节人工置换术。
患者王阿姨因左足第2跖趾关节痛疼、活动不利30余年入院治疗。
近几年来,王阿姨左足第2跖趾关节痛疼症状加重,中药外洗、封闭治疗刚开始能暂时缓解疼痛。后来疼痛逐渐加重,已经严重影响到日常生活,实在因为疼痛难忍、肿胀、致无法行走,王阿姨这才在家人的陪伴下来到betway在线登陆就诊。

通过对王阿姨详细检查后,其被诊断为左足第二跖骨坏死、拇外翻伴有拇囊炎。石荣剑副院长手术团队根据病情,进行综合评估,决定保住阿姨的跖趾关节活动度。因此,石荣剑副院长与徐明亮主任手术团队为王阿姨定制了一套“个性化”的手术方案——第二跖趾关节置换术、拇外翻矫形术。
脚趾骨关节这么小,能换?
提出这个方案后,王阿姨及家属非常紧张:“跖趾关节那么小,能置换?置换后有什么后遗症吗?为什么以前看过的医生没说置换跖趾关节呢?“。
对来自患者家属的种种疑问,石荣剑副院长耐心给患者及家属介绍:跖趾关节置换术是近几年开始的“新手术”,主要针对跖趾关节炎、跖趾关节坏死引起的足疼痛。像王阿姨这种跖骨头坏死,过去会选择通过关节切除治疗,术后恢复时间长,甚至后期可能再次复发,严重影响患者生活质量。现在给患者的脚趾换上人工跖趾关节后关节可以正常活动,行走方便,大大提高愈后的生活质量。
经过术前细致的准备,次日,王阿姨被推进手术室。
在足踝外科石荣剑副院长、徐明亮主任手术团队的密切配合下,用时一个小时左右,成功为王阿姨实施了左足第2跖趾关节人工关节置换术+拇外翻矫形术。

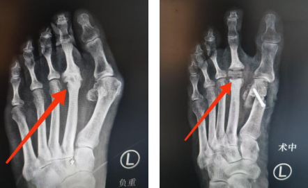
术前术后X光片对比
不仅置换了坏死的跖趾关节,消除疼痛,还矫正了阿姨的拇外翻,并且术后两天就可以下床行走。

术后即刻
目前,王阿姨恢复得很好,已经进入康复阶段,家属也对治疗效果非常满意。
以往患者足跖趾关节疼痛,医生办法不多、往往采用保守治疗,缓解症状为主。这样治疗并未解决患者的根本问题,患者会出现持续慢性疼痛,也有医生为患者做了关节成型术,但术后跖趾关节无法活动,行走不便,疼痛依旧甚至会再次复发,降低了患者生活质量。
betway在线登陆足踝外科,徐州市临床重点专科,是江苏省成立较早,淮海经济区规模较大的足踝专科,集门诊、手术、护理、矫形支具、康复及人才培养于一体的区域性足踝外科诊疗中心。
得益于足踝团队丰富的经验,充分的术前设计,以及高超的手术技术,术后个性化的康复方案,sararz足踝微创技术达到地区领先,踝关节镜联合机器人在足踝手术中的应用处于国内领先地位,在徐淮及周边地区患者中树立了良好口碑。