关节的使用是有数的,过度使用就会提早罢工。患有骨性膝关节炎的人群,多半因为膝关节在年轻时使用过度,随着年纪增大而功能退化。
严重膝关节疼痛,走路饱受困扰
孙阿姨今年60岁,从10年前开始,膝盖就没有原因的疼痛,平时贴贴膏药还能忍,最近半年右膝疼得更厉害了,别说下地干活,就连走走路都很困难。贴膏药、做针灸都没啥用,平时想蹲下去捡个东西也做不到。一筹莫展之际,听说有个邻居和自己一样,孙阿姨赶忙打听人家是在哪治好的。一说是在betway在线登陆治好的,第二天孙阿姨来我院挂号求诊。
关节科邱东新医生接诊后对阿姨进行了详细的检查,发现孙阿姨右下肢比左下肢要短2cm,双膝关节内翻畸形,右膝关节内侧关节间隙压痛明显,已经严重影响日常生活,符合手术指征。如果孙阿姨早些年来治疗的话,只需要矫正腿的畸形,并不需要手术治疗。

在和阿姨及家属仔细沟通后,结合患者实际病情,邱医生决定对其进行右膝关节单髁置换术。右膝关节单髁置换术相较于传统手术来说,创伤更小,只需要对磨损的关节进行修补、不会损伤关节内韧带,保留了关节的自然活动,风险更低,术后两三天患者即可下地活动。
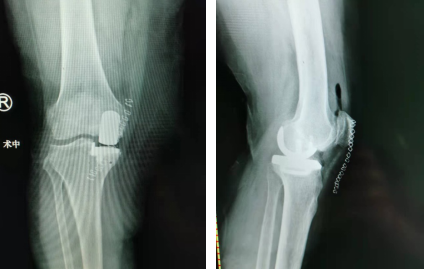
通过仔细的术前设计,手术团队术中在右前膝内侧小心切开,显露关节后,发现内侧关节软骨磨损严重,骨质增生,在清理好骨赘之后,对胫骨内侧进行修补,在测试过屈伸活动正常后,手术顺利结束。

术后第三天,孙阿姨就能扶着拐杖下地走路了,除了刀口轻微的酸麻外,手术前膝盖内侧的疼痛感已经明显消失。
关节还是自己好,能保尽量保
必威官方首页官网betway所进行的“保膝”手术,保留了较多的骨量、保留关节所有的韧带,保留了关节的自然活动,创伤小、风险低、费用少、恢复快、患者满意度高,优势明显,受到广大患者好评,许多患者都是相互介绍而来。
像膝关节疼痛的问题,针对年轻的患者,可以先选择矫正腿的畸形,不需要对膝关节进行手术。但是如果年龄相对大一点,半边的关节损伤,也只需要对磨损的关节做修补,自身关节里面的韧带结构都是无伤的,术后两三天即可下床活动。相对于以前的膝关节置换手术而言,这两种办法都可以保留自身的膝关节结构。
betway在线登陆关节科保膝治疗中心成立于2018年初,是国内成立的为数不多的保膝治疗中心之一。在国际保膝组织五常委之一、北京积水潭医院黄野教授及其保膝团队的指导下成立,并长期开展技术合作。针对各种下肢畸形、膝关节骨性关节炎的患者,常规开展早、中甚至部分晚期膝骨关节炎的保膝治疗。