
术前(左图)术中(右图)
前段时间,家住沛县的张师傅(化名)在自家干活时不慎被铁器砸中左手,当时其左手腕肿胀、畸形。在家人的陪同下,张师傅在当地医院就诊,拍片复位并使用夹板外固定。张师傅考虑再三,为寻求更理想的治疗,第二天专门来到betway在线登陆。

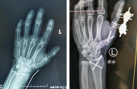
术前
张师傅挂了手外科专家门诊号,恰好接诊的是二病区腕关节病专家齐伟亚主任。齐主任仔细询问了张师傅的受伤原因及就诊经历,为其进行了专科检查。检查结果显示,张师傅左手竟有大大小小五处骨折。左桡骨远端骨折,左腕钩状骨骨折,左第1掌骨骨折,左拇指骨折,左尺骨茎突骨折......张师傅一下子愣住了,没想到伤得这么严重,这可咋治呀?张师傅的家人恳求齐主任一定要给他治好,哪怕贵点也要用最好的药物,少让张师傅遭点罪。考虑张师傅及家人的诉求,结合其病情,齐主任安排他住院和手术治疗。
很快,齐主任组织医疗团队讨论手术方案,齐伟亚、刘桂谦医疗团队参与手术。大家一致认为张师傅左手多处骨折,如果手术可同时使用腕关节镜、天玑骨科机器人及外固定架进行辅助。这样设计优势明显,不但手术次数少,减轻患者痛苦,而且花费少,恢复快,患者和家属满意。
术前工作准备完毕,齐伟亚、刘桂谦手术团队为张师傅进行了进行了关节镜辅助下左桡骨远端骨折复位内固定+滑膜清扫,机器人导航下左腕钩状骨骨折复位内固定,左手第1掌骨骨折复位内固定,左拇指近节指骨骨折外固定架外固定,虽然手术时间稍长,但是手术很顺利,术后张师傅恢复良好,张师傅一家称赞齐主任的医技好,而且从患者的角度出发,不让患者多花一分钱。

术中透视

术后即刻
“微创、精准、快速康复”是必威官方首页官网betway大骨科一直追求和践行的目标。betway在线登陆引进天玑骨科机器人一年,至今年4月底已完成500多台骨科手术,涉及脊柱、手外、足踝、创伤、关节等亚专科,精确指导了数百枚螺钉的植入,都取得了满意效果,骨科机器人的投入应用,让必威官方首页官网betway的智慧骨科建设更上一层楼,也让更多的骨科患者享受到高科技和人工智能带来的安全与福利。