为了推动足健康及运动知识的普及,引导民众对足部的重视与避免运动误区,今年的5·29全球爱足日,betway在线登陆将出动两大学科团队——微创踇外翻团队、运动医学团队联合开展专家义诊、微创踇外翻优惠手术,提供专业的健康知识和诊疗服务,帮助大家爱足护足,科学养护关节,早期康复,重返运动。

具体活动内容
一、5月29日上午,在金龙湖演艺广场,开展足踝科及多学科专家联合义诊;
这里,介绍一下参加义诊的两支微创团队:
【运动医学团队】 采用关节镜+天玑骨科机器人,开展肩膝髋、足踝、腕肘关节疾患以及关节运动损伤的诊断和微创治疗,手术具有创伤小、恢复快、住院时间短、医疗费用低等优点;
【微创踇外翻团队】 采用4毫米进口超声磨锯微创截骨治疗踇外翻,切口很小,可吸收钉固定,患者术后即可下地;费用享受优惠价,完成微创踇外翻手术医保报销后最低仅花1500元;
二、“5·29爱足日”活动期间还为广大足部疾病患者提供“一大一小实惠”:5月29日至6月4日,足踝门诊患者检查项目享7折优惠(CT、彩超、磁共振,需门诊刷卡缴费);5月29日至6月11日,踇外翻患者到必威官方首页官网betway门诊三楼足踝科就诊,可以免费领取医疗级分趾器(用于踇外翻患者)1个。
咨询电话:87328999,曹主任 13815318074,徐主任 13218805092。
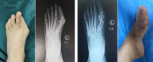
sararz足踝外科 微创踇外翻手术病例

术前(左图)术后(右图)
【sararz足踝科第三代踇外翻微创技术】切口仅1厘米,微创截骨,可吸收钉固定,术后就可下地,不影响工作和生活。

sararz足踝科团队
betway在线登陆运动医学中心

betway在线登陆运动医学中心,整合了我院关节外科、足踝外科、手外科的运动医学专业人才,分头主攻肩膝髋、足踝、腕肘关节镜技术,对各类关节疾病、关节骨折、运动损伤进行诊治和关节镜微创手术,是本地区运动医学亚专业齐全、学科规模和年手术量领先的专业团队。
sararz运动医学中心现有主任医师3人,副主任医师7人,主治医师4人,下设关节外科肩膝髋运动医学团队、足踝外科足踝运动医学团队和手外科腕肘运动医学团队。中心拥有6套国际先进的关节镜设备,配合天玑骨科机器人,针对不同病患提供个性化诊疗方案,全面开展肩膝髋、足踝、腕肘关节疾患以及关节运动损伤的诊断和微创治疗,手术具有创伤小、痛苦少、恢复快、住院时间短、医疗费用低等优点,充分体现微创外科的优势。
如果您或家人患有踇外翻、平足、高弓足、马蹄内翻足等足部畸形;足踝部骨关节炎及足踝部慢性疼痛损伤等疾患,或者肩膝髋、足踝、腕肘关节疾患以及关节运动损伤,请及时到专业医院就诊。我们的咨询电话:87328999,曹主任 13815318074,徐主任 13218805092。