这个病例,刚刚在无锡2021中国显微外科传承与创新论坛上摘得青年创新病例竞赛二等奖。
32岁的崔女士,左脚遭机械碾压,大踇脚趾连同半个脚掌被“碾烂”,这只脚还能恢复“原样”,正常走路吗?来到betway在线登陆急诊时,患者和家人都面露惨色,一再向医生寻求“保证”。

新的手术方案——3→2
急诊足踝科的陈占斌主治医生接诊,立即给患者仔细检查,评估病情。患者左脚半个脚掌,大踇脚趾与脚掌连接的第一跖列完全毁损,创面污染严重。
一边检查,一边陈医生的脑海里已经迅速构建手术方案。传统的治疗方法要进行三次手术,一期清创+VSD(封闭负压引流),二期采用皮瓣或肌皮瓣消灭创面,三期进行骨移植或骨延长+骨输送,但这种治疗方法有明显的不利之处:治疗周期长,增加了病人的痛苦和医疗费用;二是局部血供较差,部分植骨可能并发骨不连,一旦发生将严重影响患肢功能的恢复,给患者精神和经济带来沉重的负担。
陈占斌、崔运动医生商讨后,决定采用一种新的治疗方案:先急诊行清创+抗生素骨水泥填充,二期考虑游离对侧带血管蒂腓骨皮瓣修复重建第一跖列缺损。将三次手术缩减为两次,这样大大缩短了治疗周期,减短了病人的痛苦。但该手术需要细致游离带血管蒂腓骨皮瓣并在显微镜下行游离皮瓣的血管吻合,难度高,风险也较大,需要有相当基础的显微外科技术,对手术医生的技术要求很高,代表着重建的相当高的水平,不过,这样的手术对于sararz的骨科医生来说是“家常便饭”,手术团队胸有成竹。

急诊手术:清创+抗生素骨水泥填充
游离腓骨皮瓣修复重建手术,成功!
严谨而迅速的术前准备后,陈占斌、崔运动手术小组为患者进行了细致全面的清创+抗生素骨水泥填充手术,过程顺利。
“一期手术后达到创面干净,肉芽组织生长丰富,无异常分泌物,创面细菌培养无感染,才能进行下一次手术。”陈占斌医生说,一周后,患者满足二次手术条件,手术团队随即又为患者进行了游离腓骨皮瓣修复重建手术。

皮瓣术前照片

术中

术后即刻

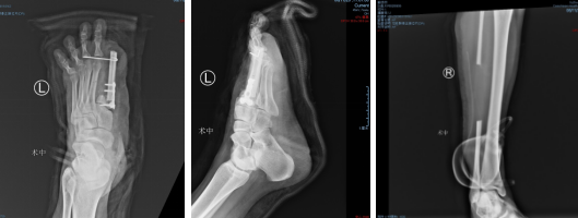
术后DR
术中,根据创面缺损的大小、形状设计皮瓣并划线标记,医生游离血管蒂长度满足受区要求、血供良好的皮瓣,移植到脚部的残损创面,在显微镜下细致吻合血管、神经。皮瓣供区则直接拉拢缝合,将来不会影响腿部的使用功能。
术后,就是精心的后续治疗和护理了,让移植的皮瓣与创面慢慢生长“合而为一体”。一周后,观察皮瓣静脉回流正常,顺利成活。两周后,患者皮瓣感觉功能良好。

两周随访

三个月随访
患者术后半年行走视频
复杂创面的修复与重建是多科室医生在治疗过程中经常面对的棘手问题,面对这个难题,betway在线登陆联合国内多领域资深专家,聘请中国肿瘤整形外科学学科创始人周晓教授为医院肿瘤整形外科首席专家,请来中华医学会烧伤外科分会主任委员吕国忠教授定期指导烧伤科救治工作,成立了解放军总医院第四医学中心(原304医院)冯光教授工作室,带教创面修复科工作……在医院综合化的强大平台下,betway在线登陆的显微修复重建专业,充分发挥显微外科、整形外科、骨科、肿瘤学科多年来在创面修复、软组织及颌骨组织重建、感染创面治理等方面积累的丰富治疗经验,结合多学科诊疗模式,对各类疾病引起的组织缺损、创面感染、器官畸形、各类肿瘤等问题提供解决修复重建方案,实现患者“从头到脚”多个部位和组织的修复重建。
专家介绍

陈占斌
主治医师,医学硕士
江苏省医学会显微外科分会委员,中国康复医学会修复重建外科专委会委员。
2013年毕业于苏州大学,曾于上海长征医院关节外科、宁波市第六人民医院手外科进修,并多次外出学习皮瓣外科方面的先进理念。
专业特长:关节外科、手足外科、创伤骨科;如全髋置换、全膝表面置换、关节镜,断指再植、游离皮瓣转移修复创面等手术、臂丛神经及周围神经损伤与功能重建,显微外科技术在四肢创伤的修复与重建中运用,多指(趾)并指(趾)畸形整形手术等。