上周,betway在线登陆足踝科石荣剑副院长徐明亮主任团队采用第三代微创踇外翻矫形技术,为一位双足踇外翻畸形10年的74岁患者进行了微创矫形手术,手术切口1厘米,老人术后第二天就能下地行走,疼痛消失,对手术效果很满意。
74岁奶奶脚趾疼得走不了路
74岁的徐奶奶,10年前出现双足踇趾外翻畸形,最近两年畸形逐渐加重,出现第2跖趾关节间断性疼痛,严重影响行走及日常生活,在必威官方首页官网betway足踝外科,被诊断为“双足踇外翻伴拇囊炎”。

“踇外翻一方面影响外观,严重时甚至不能走路。徐大娘的踇外翻已经达到中重度,畸形疼痛,给生活带来较大影响,需要进行矫形手术治疗。”足踝二病区徐明亮主任说。考虑到患者年纪大了,在保证疗效的前提下,需尽量减少手术带来的创伤,手术团队决定采用第三代微创踇外翻矫形技术,为老人进行矫形。
第三代微创踇外翻矫形技术,采用低频超声骨刀微创矫形,手术时间短,切口不到1厘米,术中几乎不出血,更好地保护骨骼血运,截骨处更快愈合,矫正踇外翻效果理想,患者术后就能下地活动。

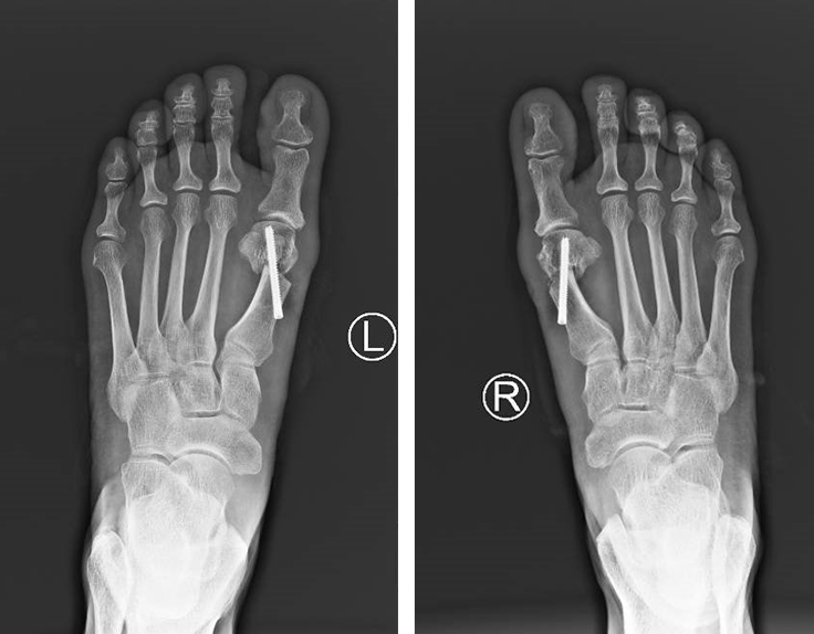
完善的术前检查后,石院长徐主任魏笛医生团队给患者进行了双足踇外翻截骨矫形内固定+拇收肌松解手术。术中,C型臂定位后,手术医生先后于右足及左足第1跖趾关节近端内侧做一1cm切口,采用低频超声骨刀微创截骨,向外侧轻推跖骨头端,以螺钉内固定,术中出血仅20毫升。老人及家属对手术效果很满意。

类似的对治疗效果满意的患者还有很多,必威官方首页官网betway足踝外科,通过测量患者不同的踇外翻角度,有针对性地采用个体化的治疗方式,让患者用最少的花费解决病痛,术后第二天即可穿特制鞋子下地行走、生活自理,快速回归正常生活。

怎样有效预防踇外翻?
徐主任同时也提醒广大市民,预防踇外翻,平时一定要穿着合脚的鞋子;其次,多做小腿肌肉的拉伸动作,放松小腿肌肉;如果发现有踇指外翻倾向,尽早进行矫正;严重者及时到医院手术,减少不必要的痛苦。
sararz足踝科开展微创踇外翻矫形手术两年,手术团队完成数百例手术,技术娴熟精准,从术后反馈来看效果都很理想,许多患者都是听从口碑而来。如果您的踇外翻畸形发生疼痛,影响到工作生活,一定要及时到专科医院就诊,咨询预约电话:87328999,13218805092徐主任。
专家名片

石荣剑
主任医师,副院长
徐州市临床重点专科——手外科、足踝外科学科带头人
国际矫形与创伤外科学会(SICOT)国际会员
SICOT中国部足踝外科学会委员
中华慢病学院伤口分院副院长
江苏省医学会显微外科学分会副主委
徐州市医学会显微外科分会主委
徐州市医学会骨科分会副主委、手外科学组组长、足踝外科学组副组长
《中华显微外科杂志》编委
从事骨科及手足显微外科专业20余年,一直躬耕于显微外科的临床和科研一线,先后在无锡手外科医院、青岛401医院手外科、香港威尔斯亲王医院、西安市红会医院进修学习,在创伤骨科与手足显微外科领域积累了丰富的临床经验和较高的学术能力,先后在国家级核心期刊发表专业论文数十篇,主持参与的多个科研项目荣获“徐州市科学技术奖”和“徐州市医学新技术引进奖”。2016年8月,石荣剑院长带领团队完成江苏省大肢体寄养回植手术。2018年10月,石院长受邀参加SICOT世界骨科大会,成为国际矫形与创伤外科学会会员。
专业特长:手外科——断肢再植、拇手指再造、游离皮瓣、带血管的游离骨瓣移植;足踝外科——足踝创伤、畸形、运动损伤的治疗,微创踇外翻技术、踝关节镜技术。

徐明亮
副主任医师,足踝二病区副主任
徐州康复医学会修复重建外科专委会秘书
徐州市医学会骨科分会足踝学组委员
中国康复医学会修复重建外科专委会第一届足踝学组委员
中国残疾人康复协会肢体残疾康复专业委员会Ilizarov技术组委员
专业特长:应用Ilizarov技术治疗四肢复杂创伤,足踝部骨折脱位、骨不连、骨髓炎、骨缺损,肢体不等长,四肢骨与关节畸形,马蹄内翻足等肢体畸形、微创治疗踇外翻、应用关节镜治疗踝关节滑膜性疾病,踝关节运动损伤等。
坐诊时间 : 周三全天