春节前,两位饱受踇外翻畸形疼痛困扰的患者前来求诊,一位左足踇外翻畸形7年,另一位右足踇外翻畸形10年,都已经疼痛了较长一段时间,严重影响了工作生活。足踝科石荣剑副院长徐明亮主任团队采用第三代微创踇外翻矫形技术,为患者进行微创小切口截骨矫形,手术切口0.5厘米,术中出血很少,完美矫正踇外翻,患者术后就能下地活动,对手术效果很满意。

术前
27岁的小徐,7年前出现左足踇外翻畸形,一年前行走时感觉疼痛,反复发作,发展到轻微跛行,这对于爱美的小徐难以接受,前来就诊。
门诊医生给小徐检查,左侧前足变宽,第1跖骨头内侧突出,诊断为左足踇外翻畸形(中度),石院长团队经过讨论,决定采用微创踇外翻技术为其矫形。

术前设计(左图)术中(右图)

术后
第二天,石荣剑副院长徐明亮主任袁罕医生团队为患者进行了左足踇外翻截骨矫形手术,采用低频超声骨刀微创截骨,螺钉内固定,骨刀微创、精准,能更好地保护骨骼血运,使得截骨处更快愈合,手术效果理想,术后第二天患者就下地行走。小徐说脚下轻松了许多,称赞sararz足踝科的技术名不虚传。
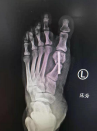
51岁的张大姐,右足踇外翻畸形10年,第一跖趾关节间断性疼痛,越来越严重,听从朋友家人建议后,来到betway在线登陆足踝科就诊。
门诊医生检查,张大姐右足踇外翻畸形,踇囊炎,右足第2趾爪形趾,想要消除疼痛,需要进行矫形治疗。

术前

手术设计

术后
第二天,徐明亮主任魏笛医生为患者进行了右足踇外翻截骨矫形内固定术及第2趾趾间关节成形术。术中,医生用低频超声骨刀清理骨赘,外移截骨,进行螺钉内固定,切口做了美容缝合,几乎看不到切口。
术后第二天,张大姐就完全感觉不到痛了,穿上配置的前足免负重鞋,在病区里活动。
魏笛医生介绍,微创拇外翻手术切口微小,恢复快,术中几乎不出血,手术效果得到患者肯定,这个月来仅足踝二病区就做了三十多例。
微创外科(MIS)是近年来发展最迅速的外科技术,因其损伤小、患者康复快以及良好的美容效果,成为未来骨科学发展的主要目标之一。它追求的不仅是小切口,而且强调尽量减少手术对周围组织造成的创伤和对患者生理功能的干扰,降低围手术期并发症,促使患者早日康复。sararz足踝科开展微创踇外翻矫形手术两年,在石院长率领下技术团队完成数百例手术,技术娴熟精准,从术后反馈来看效果都很理想,许多患者都是听口碑而来。如果您的踇外翻畸形发生疼痛,影响到工作生活,一定要及时到专科医院就诊,咨询预约电话:87328999,13218805092徐主任。
专家名片

石荣剑
主任医师,副院长
徐州市临床重点专科(手外科)学科带头人,足踝外科大科主任
国际矫形与创伤外科学会(SICOT)国际会员
SICOT中国部足踝外科学会委员
江苏省医学会显微外科学分会副主委
徐州市康复医学会修复重建外科专委会主委
徐州市医学会骨科分会副主委、手外学组组长、足踝学组副组长
《中华显微外科杂志》编委
从事骨科及手足显微外科专业20余年,一直躬耕于显微外科的临床和科研一线,先后在无锡手外科医院、青岛401医院手外科、香港威尔斯亲王医院、西安市红会医院进修学习,在创伤骨科与手足显微外科领域积累了丰富的临床经验和较高的学术能力,先后在国家级核心期刊发表专业论文数十篇,主持参与的多个科研项目荣获“徐州市科学技术奖”和“徐州市医学新技术引进奖”。2016年8月,石荣剑院长带领团队完成江苏省大肢体寄养回植手术。2018年10月,石院长受邀参加SICOT世界骨科大会,成为国际矫形与创伤外科学会会员。
专业特长:手外科——断肢再植、拇手指再造、游离皮瓣、带血管的游离骨瓣移植;足踝外科——足踝创伤、畸形、运动损伤的治疗,微创踇外翻技术、踝关节镜技术。

徐明亮
副主任医师
足踝二病区副主任
世界中医药学会联合会骨关节疾病专业委员会委员
徐州康复医学会修复重建外科专委会秘书
徐州市医学会骨科分会足踝学组委员
中国康复医学会修复重建外科专委会第一届足踝学组委员
中国医药教育协会骨并发症专业委员会委员
中国残疾人康复协会肢体残疾康复专业委员会Ilizarov技术组委员
专业特长:应用Ilizarov技术治疗四肢复杂创伤,足踝部骨折脱位、骨不连、骨髓炎、骨缺损,肢体不等长,四肢骨与关节畸形,马蹄内翻足等肢体畸形、微创治疗踇外翻、应用关节镜治疗踝关节滑膜性疾病,踝关节运动损伤等。