2020年12月,一位16岁的少年来到betway在线登陆,手外三医疗团队帮他接活了断指。然而,这不是一次普通的接指手术。
医学上讲,断指成活的黄金时间为6小时。什么意思呢?就是手指离断后,越快进行手术,成活率越高;一旦超过6小时,手指可能就保不住了。
患者是如何受伤的?
12月13日,少年患者在家帮父母干活时不慎被铁盘砸伤左小指,当时感觉伤得不重,家人便带他就近求医。到达当地医院后,医生却告知他们,这里手术条件不允许,建议其立刻到betway在线登陆去治疗,否则左小指将面临坏死的风险。
稳!必威官方首页官网betway超显技术吻接0.5毫米血管
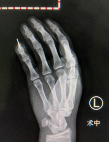
刻不容缓,为了保住手指,少年的家人开车一路狂奔赶到sararz。急诊为其开通绿色通道,电话通知正在值夜班的手外三医疗团队,检查诊断其左小指外伤术后甲中段不全离断。
手外三医疗团队立即准备进行左小指修复术。术中拆除伤口缝线,彻底清除污染、失活组织;手法复位小指远节指骨骨折断端,克氏针固定。在高倍显微镜下,找到血管和神经断端,使用显微线吻合。少年手指远节的血管非常细,管腔直径仅0.5毫米,必须运用超级显微外科技术,在高倍显微镜下,保证一次性吻接成功。
指尖再植手术看似简单,实则技术难度很大。这需要高倍显微镜(设备)和熟练掌握超级显微外科技术的医生,二者缺一不可。

术中

术后
术后,在手外三医护团队的护理下,少年左小指血运通畅,顺利成活出院。
手指离断应该怎么做?
1、将断指用干净的敷料或布包裹,再放进塑料袋中密封(除非污染严重,否则不要冲洗,高渗和低渗溶液均对组织细胞有损伤,影响再植成活率);
2、再放入装有冰块的塑料袋或瓶子中,交给医务人员(没有冰块可用冻肉、雪糕冰棍等代替,低温可降低组织的新陈代谢,减慢组织变性,为断指再植争取时间),不要将断指与冰块直接接触,以防冻伤。 断指的最佳接续时间为6-8小时内,受伤后应在最短的时间内将伤员与断指送到医院,如果离医院远,最好拨打120寻求帮助。
超级显微外科技术
近年来,我院开始注重超级显微外科的发展,在泛亚洲太平洋地区面部整形与重建外科学会(PPAFPRS)常务理事兼中国区主席、中国医师协会常务理事李世荣教授和betway在线登陆宗亚力院长的共同推动下成立超级显微外科,是国内极少数有实力开展超级显微外科的医院。
医院引进放大50倍的超级显微镜,使用更细的12-0缝合线,皮瓣吻合的血管≤0.8mm,显微外科医师借助手术显微镜的超级放大功能与超显微器械,用更加精细的显微操作完成超级细小、超级疑难的显微外科手术。
超级显微外科优势明显:手术时间更短,出血更少;损伤更小,恢复更快;进一步推动指尖再植、部分组织离断再植、部分足趾移植再造等普通显微外科技术的发展。