近年来,因为卷扬机、电锯、机床、齿轮、刀具、炸药等广泛使用原因,导致手指离断的事件时有发生。betway在线登陆手外科每天都会接到很多起这样的病例,随着医疗技术的不断发展,离断的手指再植成活的几率是非常高的。但是有些人面对这样突发的状况时,会将断指用水冲洗干净,有人用碘伏、酒精给断指做了消毒,有人甚至直接将断指浸泡在酒精或冰水中,误以为这样能消毒且维持断指存活,但实际上,这是好心办了坏事。
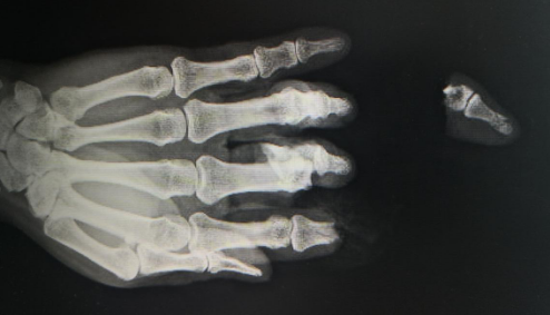
半个月前的一个下午,家住河南永城的胡师傅,在自家院子里加工红薯粉的时候,手指不小心绞入到了打粉机的三角带中,导致左手4根手指受伤,其中示中指完全离断,环小指关节、肌腱损伤。
而惊吓之后胡师傅慌忙处置,将断指直接放入冰块中冷冻,不曾想,这个举动差点造成了不可逆的严重后果。

据了解,胡师傅的女儿是当地医院的护士,胡师傅受伤后立即带着断指来到女儿工作的医院,当地医院医生接诊后看到胡师傅的断指已经被冰块融化的冰水完全浸泡,于是立刻指导他行纱布包裹后放入塑料袋中再在其周围放入冰块冷藏保存后,紧急转到我院。

胡师傅入院后,医生查看其示指指体中段、指端部分毁损,因为断指被冰水直接浸泡,导致离体指冻伤,中指近节部分指体、中节指体毁损,几乎无再植条件,但是胡师傅断指再植的意愿非常强烈,于是betway在线登陆手外科潘勇医生决定给予示指中节短缩再植,指尖残端修整,中指中节指骨短缩再植。由于手指有缺失,血管管径不匹配,近端约0.8mm,远端约0.3mm,均属于超级显微外科范畴,对血管吻合技术要求非常高。经过五个多小时的“精雕细琢般的修复”手术,将那些细微的血管、神经,使用比发丝细得多的缝线一一缝合,血管顺利通血,手指逐渐恢复了血色,手术圆满完成!

betway在线登陆潘勇医生表示,由于组织缺失,再植后指体短缩,但是待再植成活半年以后,可以通过指体延长来改善。
同时,潘医生还提醒,断指不能与任何的化学物质接触,尤其是酒精、碘伏等消毒液,会使细胞组织变性,导致再植失败。断指泡在冰水中会导致断指冻伤坏死。
正确处理断指的方法
1、将断指用干净的敷料或布包裹,再放进塑料袋中密封(除非污染严重,否则不要冲洗,高渗和低渗溶液均对组织细胞有损伤,影响再植成活率);
2、再放入装有冰块的塑料袋或瓶子中,交给医务人员(没有冰块可用冻肉、雪糕冰棍等代替,低温可降低组织的新陈代谢,减慢组织变性,为断指再植争取时间),不要将断指与冰块直接接触,以防冻伤。
断指的最佳接续时间为6-8小时内,受伤后应在最短的时间内将伤员与断指送到医院,如果离医院远,最好拨打120寻求帮助。
超级显微外科技术
近年来,我院开始注重超级显微外科的发展,在泛亚洲太平洋地区面部整形与重建外科学会(PPAFPRS)常务理事兼中国区主席、中国医师协会常务理事李世荣教授和betway在线登陆宗亚力院长的共同推动下成立超级显微外科,是国内极少数有实力开展超级显微外科的医院。
医院引进放大50倍的超级显微镜,使用更细的12-0缝合线,皮瓣吻合的血管≤0.8mm,显微外科医师借助手术显微镜的超级放大功能与超显微器械,用更加精细的显微操作完成超级细小、超级疑难的显微外科手术。
在sararz临床解剖教研室的助力下,我院医生团队超级显微外科技术得到快速提升,有力推动了显微修复重建外科、骨与软组织肿瘤外科、各骨科亚专科,美容整形外科、烧伤整形科、创面修复科等科室的快速发展。