半个月前,betway在线登陆创伤骨科又成功为45岁的胡女士实施了机器人辅助下骨盆骨折复位内固定术。原来,胡女士20天前因车祸伤导致左股骨骨折、骨盆多发骨折,之前的治疗中已为其实施了双侧胫骨结节骨牵引术,经过必威官方首页官网betway创伤骨科任海东主任的仔细诊察,为了进一步帮助胡女士恢复功能,打算为她开展机器人辅助下骨盆骨折复位内固定术。

准确无误!成功开展复位内固定
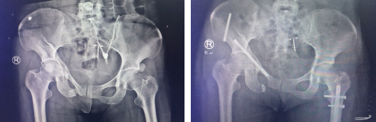
胡女士是车祸后4小时被送到必威官方首页官网betway的,当时左大腿出血畸形,右髋疼痛,左髋关节活动受限,急诊摄片显示左股骨骨折,骨盆多发骨折。
进行双侧胫骨结节骨牵引术一周后,胡女士恢复良好。随后,创伤骨科任海东主任周立国朱宏医生团队操作天玑骨科机器人成功对胡女士实施了骨盆骨折复位内固定术。术中,任主任团队对胡女士进行三维影像扫描,并将影像数据同步传输给了骨科手术机器人系统。

在骨科机器人的精确定位下,手术医生沿着套筒钻入导针,确认位置无误后,再沿导针打入前柱螺钉固定,拔出导针。再次对胡女士进行扫描,成功了!螺钉位置与既定规划完全一致!如今,胡女士恢复良好,已经出院。

手术定位精度达到 0.8 毫米的超级机器人
能有一双可以透视的眼睛看清人体内部结构、能有一条稳定的操作路径保证手术质量,是骨科医生的需求和痛点。而日新月异的科技创新正直击了这个痛点。
创伤骨科任海东主任介绍,天玑骨科手术机器人系统由机械臂主机、光学跟踪系统、主控台车构成。光学跟踪系统就像是机器人的“眼”,不仅透视洞察着骨骼的每一个深处,还实时监控每一个手术环节;机械臂就是机器人的“手”,运动灵活、操作稳定,能达到亚毫米的精度;而主控电脑系统就等于机器人的大脑,智能传达着医生的想法给以上两个设备,帮助医生进行“路径规划”。
特别值得关注的是,天玑的“一臂之力”能使手术定位精度达到 0.8 毫米,可减少术中辐射 70%以上,提高手术效率20%以上,并具有减少失血量和术中组织创伤等显著优势,是“人工智能 + 医疗”的又一重要成果。
智能化骨科让患者诊疗方案更安全高效
天玑骨科机器人是目前国际上唯一针对骨骼硬组织、能够开展脊柱全节段(颈椎、胸椎、腰椎、骶椎)、骨盆骨折及四肢骨折手术的骨科手术机器人,比国外同类别的产品要更全面。它可以进行深层三维空间的精确定位,可以将虚拟的手术计划转变为现实的空间位置,手术路径更加精确无误。其术前精确的手术规划设计,与术中实时的导航相结合,使复杂手术安全化,常规手术微创化,微创手术更流程化,关键操作智能化。
骨科机器人如虎添翼 手术更精准创伤更小
央视二套报道天玑骨科手术机器人