踝关节是人体最容易损伤的关节之一,以往踝关节损伤手术常常要进行开放手术。近几年来,随着踝关节镜技术的不断发展,踝关节镜的应用日趋成熟,成为诊疗关节损伤与疾病的重要手段。
9月27日,betway在线登陆足踝科二病区徐明亮主任团队采用踝关节镜为一名右踝骨折的初中男生进行了关节镜下骨折复位内固定、韧带修复踝关节稳定术,手术很顺利,术后第四天,男生就出院回家休养了。
患者小夏15岁,9月27日,在学校蹦下楼梯时扭伤右脚踝,疼痛、肿胀,父母将他送到betway在线登陆足踝科治疗。
足踝科二病区周祥国医师接诊,给小夏进行了仔细检查,检查结果为右外踝骨折,右外踝关节侧副韧带断裂。

韧带受伤

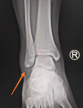
右外踝骨折
徐明亮主任和手术团队商讨,决定对患者采用关节镜进行骨折复位、韧带修复手术。“这个部位,如果采用开放手术,需要较大的切口,不仅增大创伤,而且可能加重关节内粘连;其次,开放手术暴露的区域有限,不能观察到整个关节腔,不能同时处理关节内伴随的损伤。”相较开放手术而言,踝关节镜手术具有创伤小、恢复时间短等无可比拟的优势。
完善的术前准确后,徐明亮主任、周祥国医生手术组为患者进行了关节镜下右踝骨折复位内固定、韧带修复踝关节稳定术。通过在踝关节前侧取0.5cm的两个小切口,放置关节镜通道,在镜下复位固定骨折块,对损伤断裂的韧带进行重建修复。

术中
徐明亮主任介绍说,踝关节镜技术相对开放手术的特点很明显:1、小切口,瘢痕小,周围组织损伤轻。2、镜下观察的踝关节范围大;3、早期行康复锻炼。
术后,小夏被送入足踝二病区继续治疗,在细致的护理后,患者的康复进度明显,第四天,小夏便出院回家。徐主任说,在家经过一段时间的休养与康复训练后,小夏将回归正常的生活。
专家名片

徐明亮
副主任医师
足踝科二病区副主任
现任中国残疾人康复协会肢体残疾康复专业委员会Ilizarov技术组委员世界
中医药学会联合会骨关节疾病专业委员会委员
徐州康复医学会修复重建外科专业委员会委员兼秘书
从事创伤矫形工作十余年。在省级、国家级杂志上发表文章数篇。
擅长领域:应用Ilizarov技术治疗四肢复杂创伤,足踝部骨折脱位、骨不连、骨髓炎、骨缺损,肢体不等长,四肢骨与关节畸形,马蹄内翻足等肢体畸形、微创治疗拇外翻、应用关节镜治疗踝关节滑膜性疾病,踝关节运动损伤等。
betway在线登陆足踝外科
betway在线登陆足踝外科,是江苏省成立较早,淮海经济区规模较大的足踝专科,集门诊、手术、护理、矫形支具、康复及人才培养于一体的区域性足踝外科诊疗中心。
sararz足踝外科是2017年9月从手足显微外科和骨科分离出的一个亚学科,目前已经发展为两个病区,设置床位120张,是省内外规模较大的足踝病区。其中主任医师1名,副主任医师2名,主治医师6名,住院医师7名,医师助理8名,26名护士。医生团队既掌握显微外科技术进行足踝部创面修复,又能用 llizarov技术进行肢体矫形和延长。
科室积极开展国内外学术交流,先后与国内知名骨科医生联盟——泉医生集团、北京常春藤医学高端人才联盟以及北京积水潭医院、北京同仁医院、北大人民医院、上海同济医院、上海华山医院、上海瑞金医院、河北三院、西安红会医院等国内知名三甲大院开展长期交流合作,科室选派骨干力量深入上述医疗机构进修学习,不断提高专科诊疗水平。自2018年1月起,betway在线登陆特聘俞光荣教授为首席专家,定期来院坐诊指导,为淮海经济区的患者提供更便利的诊疗服务。