9岁男童小吉半年前从4米高处摔下,导致双脚跟骨骨折,足踝科医生采用踝关节镜进行微创复位,孩子术后5天出院,术后2个月打来电话“报喜”:已经正常行走;术后半年孩子来取内固定,开心地告诉医生:双脚早就不疼了,自己每天都下楼玩。
双跟骨骨折,踝关节镜术后半年,男童行走轻松自如
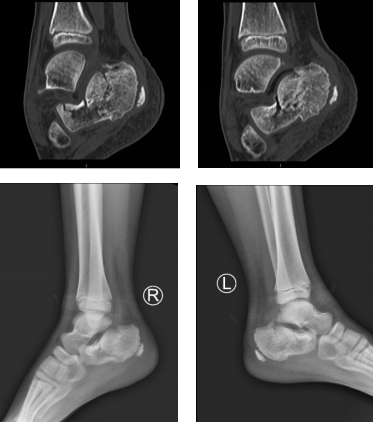
9岁男孩4米高处坠下,双跟骨骨折

术前片
今年2月,铜山区9岁男孩小吉在家玩耍时,从4米高的楼上摔下,孩子双脚跟着地,疼痛难忍,很快便开始肿胀。
家人将孩子送到betway在线登陆,魏笛医生接诊了小吉。
术前设计

魏医生给孩子做了仔细检查,患者俩脚跟明显红肿,拍片显示双侧跟骨骨折,断端错位,累及周围关节。考虑到孩子年龄幼小,为了以最小的创伤完成治疗,以最快的速度康复,足踝二病区徐明亮主任和手术小组讨论后决定给孩子施行踝关节镜下微创骨折复位手术。
0.5厘米切口,微创复位内固定

术后
经过一周的消肿后,徐明亮主任魏笛医生手术小组按计划给小吉进行了踝关节镜辅助下撬拨复位内固定手术。
手术中,医生在患者足跟外侧切0.5厘米左右小口,踝关节镜由此进入,距下关节在镜下暴露得非常充分,手术医生凭借清晰的视野,精确地复位骨折。

术后第5天,孩子恢复良好,几乎看不见伤口。
“踝关节镜手术的特点,是微创小切口,患者创伤小,消肿时间短,恢复时间快,术后并发症少,避免了大切口手术可能导致的伤口感染、瘢痕挛缩、皮瓣坏死等风险。”徐明亮主任说。 术后一周,小吉出院回家康复。
术后半年取内固定

半年后来取内固定
孩子在家康复期间,一直跟主治医生保持联系,出院两个月时跟医生汇报,说已经在家正常行走了。出院6个月后,小吉来取内固定。
取完内固定后,魏医生特地让孩子来回走了几圈,孩子走得轻松自如,“叔叔,我一点也不疼了,每天都下楼玩,但我妈不让我多玩。”“嗯,虽然恢复得不错,玩耍也要适度。”
betway在线登陆足踝外科
betway在线登陆足踝外科,是江苏省成立较早,淮海经济区规模较大的足踝专科,集门诊、手术、护理、矫形支具、康复及人才培养于一体的区域性足踝外科诊疗中心。
sararz足踝外科是2017年9月从手足显微外科和骨科分离出的一个亚学科,目前已经发展为两个病区,设置床位120张,是省内外规模较大的足踝病区。其中主任医师1名,副主任医师2名,主治医师6名,住院医师7名,医师助理8名,26名护士。医生团队既掌握显微外科技术进行足踝部创面修复,又能用 llizarov技术进行肢体矫形和延长。
科室积极开展国内外学术交流,先后与国内知名骨科医生联盟——泉医生集团、北京常春藤医学高端人才联盟以及北京积水潭医院、北京同仁医院、北大人民医院、上海同济医院、上海华山医院、上海瑞金医院、河北三院、西安红会医院等国内知名三甲大院开展长期交流合作,科室选派骨干力量深入上述医疗机构进修学习,不断提高专科诊疗水平。自2018年1月起,betway在线登陆特聘俞光荣教授为首席专家,定期来院坐诊指导,为淮海经济区的患者提供更便利的诊疗服务。sararz足踝将逐步发展成为集门诊手术、护理康复、矫形支具、疼痛治疗、专科人才培养于一体的区域性足踝外科诊疗中心。
每年举办高质量的足踝学术会议,向业内推广先进经验与技术,积极推动淮海经济区足踝外科事业的发展。
诊疗范围:
科室集中开展下肢创面显微外科修复,断肢(趾)再植、足踝部复杂骨折脱位、软骨、韧带等运动损伤的踝关节镜的微创治疗;足踝部先天及后天性畸形如多(并)趾、马蹄足、高弓足、平足的手术治疗和拇外翻的微创手术治疗;各种足踝部创伤后骨折畸形愈合的矫正重建;足踝部关节炎的保踝治疗,应用Ilizarov技术治疗骨髓炎、骨不连、糖尿病足;下肢肢体缺血性疾病;脑瘫后遗症,儿麻后遗症,(后天性)肢体关节畸形等先天(后天)肢体关节畸形。
专家名片

徐明亮
足踝科二病区副主任
现任中国残疾人康复协会肢体残疾康复专业委员会Ilizarov技术组委员
世界中医药学会联合会骨关节疾病专业委员会委员
徐州康复医学会修复重建外科专业委员会委员兼秘书
从事创伤矫形工作十余年。在省级、国家级杂志上发表文章数篇。
擅长领域:应用Ilizarov技术治疗四肢复杂创伤,足踝部骨折脱位、骨不连、骨髓炎、骨缺损,肢体不等长,四肢骨与关节畸形,马蹄内翻足等肢体畸形、微创治疗拇外翻、应用关节镜治疗踝关节滑膜性疾病,踝关节运动损伤等。
预约电话:87328999,徐明亮主任13218805092