投稿:手外二 刘双嘉
前段时间,徐州连续多日雨水天气,导致道路湿滑,行人在出行时不慎摔倒。
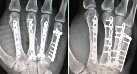
7月20日晚,蒋先生(化名)急匆匆赶到betway在线登陆,挂了手外科的号。手外二病区的熊祖国医生正值班,他接诊并查看了蒋先生病情,为其做了检查,X光片显示蒋先生右手第2-5掌骨粉碎骨折,骨折端移位明显;右示指中节骨折。
原来,蒋先生是在晚上下班骑电动车回家路上与电动车一起摔倒在地,当时他感到右手肿胀、疼痛,各指活动受限,所以不敢大意,必须去一趟医院才放心。

术前
由于蒋先生右手第2-5掌骨均为粉碎性骨折,手术难度非常大,熊医生手术团队经讨论决定为蒋先生掌骨骨折行钢板内固定,使用钢板内固定不但固定牢靠,而且可在早期行功能康复锻炼,更有利于右手的功能恢复,对患者以后日常生活影响较小。而右示指中节指骨骨折选择钢针内固定,优点在于损伤小,占位少,针尾可露于皮外,术后复查骨折的愈合良好,可取出钢针。
明确手术方案后,第二天熊祖国医生为蒋先生安排了手术,术中手法复位右示指骨折端,钢针内固定,右手桡背、尺背侧各做了切口,复位右手第2-5掌骨骨折端,各植入金属接骨板、螺钉固定,术中一切顺利。术后复查右手X线片,见各骨折复位良好,内固定在位,乍一看,如同“钢筋铁骨”。

术后即刻
目前蒋先生恢复良好,近日可出院回家修养。
熊医生提醒大家,雨天道路湿滑,外出时一定要注意观察路面通行情况,确认安全后再通过,外出时也尽量选择公共交通等绿色出行。
专家名片

熊祖国
主治医师,手外二病区医疗组组长
多年来一直在创伤骨科与手足显微外科的一线工作,具有丰富的临床经验。先后在《中华显微外科杂志》、《中华手外科杂志》等核心期刊发表多篇科研论文。
专业特长:手指缺损再造、超级显微外科技术、各种复杂断指(肢)再植,复杂创面的各种游离皮瓣、复合组织瓣、骨瓣移植修复;腕部及手部骨折的微创治疗;先天畸形、瘢痕,功能重建等。
咨询电话(微信):熊祖国15150037742