3月25日,86岁的汤奶奶因股骨颈骨折做完人工股骨头置换手术后一周,准备出院了。一早,汤奶奶下地走了一圈,听完手术医生邱东新的出院叮嘱,回到床上歇着。两个女儿,一个女儿坐在床边照看,另一个女儿按老人要求,风风火火送来“礼物”,又去办理出院手续。

“手术效果很好,太感谢了,我妈又能走了!86岁了,手术前都没敢想能有这么好的效果。一开始摔着了,老人在家躺了快一个月,翻个身都疼得直叫唤,我们瞧着心里实在难受,托朋友,几个姐妹四处打听,最后来到必威官方首页官网betway,邱医生的技术是真好,手术做完我妈就不疼了,第二天能下床走几步,sararz的骨科技术确实是这个!”说起老母亲的康复,女儿很激动,竖起大拇指。“老太太说一定要给医生送个礼物,送礼医生也不收呀,我们就做了一面锦旗,表达我们的心意。”
这面“医德高尚暖人心 医术精湛传四方”的锦旗现在和许多面锦旗一起,挂在关节病区的走廊上。
86岁奶奶摔成股骨颈骨折,卧床一个月,越躺越严重
86岁的汤奶奶,家住邳州,2月中旬在家里摔了一跤,正摔在水泥地上,导致股骨颈骨折。老人已年过八旬,儿女们都觉得老人不太可能经受大手术,就让老人在家躺着,轮流照顾她。但事与愿违,老人躺了快一个月,不但没有好转,反而越来越疼痛难忍,儿女们看不过去,四处打听能给老人做手术的医院。
最后,还是听一位医生朋友的建议,汤奶奶被送到betway在线登陆。关节科邱东新副主任医师给老人做了详细检查,汤奶奶送来的时候,已经在家躺了25天,股骨颈骨折已转化为陈旧性骨折。
医生50分钟完成手术,老人第二天下地行走
老年人的髋部骨折,手术越早开展,术后的并发症就越少。但汤奶奶已86岁高龄,患有糖尿病,一年前又查出肺癌,还有胸椎的骨转移,身体状况相对较差,手术小组不得不慎重。但不手术的话,老人家又将继续长期卧床。而医生最害怕的就是老年人卧床,不能活动,这将带来肺功能的恶化,血栓、心脑血管意外的高风险,褥疮的发生,日常照料的困难。因此,髋部骨折也叫老年人人生中的最后一次骨折,可见其并发症的凶险。
综合考量,邱东新医生与老人家属多次沟通后,决定手术。术前,邱东新徐猛手术小组联合麻醉科会诊,反复讨论,确定了最优化的麻醉及手术方案,尽量缩短手术时间,保证手术细节的细致周全,确保手术高质量完成。

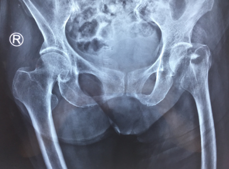
术前

术后
手术按照术前计划顺利进行,仅用了50分钟,手术小组就完成了汤奶奶的左人工股骨头置换手术。手术后,情况良好的老人被直接送回关节病区康复,此后,老人的康复速度很快,精神状态一天比一天好,第二天就能下地行走,仅一周时间就出院了。
高龄老人的髋部骨折,到底该不该手术?
“对于高龄老人的股骨颈骨折,好多人有这样的老思维,觉得这么大岁数了,没有必要去冒风险再做手术,在家养一养也能好的。我们碰到不少这样的家属,但是这种骨折,躺再长时间也没有用,骨折是不能愈合的。只要骨折无法愈合,伤处就会一直疼痛,患者只能躺在床上,就连翻身都会疼痛难忍。有些老人躺了一个月,甚至更长时间,出现了身体的压疮,肺炎的情况,可能连最后一次手术恢复的机会都失去了。所以呼吁广大老年髋部骨折的患者及家属,及早治疗,才能获得好的结果。”邱东新医生提醒。
专家介绍

邱东新
副主任医师
医学硕士,关节组组长
泛长三角保膝联盟专家委员会委员
师从国际保膝五常委之一、北京积水潭医院黄野教授,擅长各种下肢畸形的矫正、膝关节骨性关节炎的保膝阶梯治疗;师从国内关节置换大师、北京积水潭医院李为教授,擅长晚期髋膝关节炎的微创关节置换手术治疗。
专业特长:早、中期骨关节炎的保膝、下肢畸形矫正的治疗,晚期髋膝关节炎的微创关节置换手术,骨折的微创内固定治疗。