betway在线登陆足踝外科2017年成立以来,在上海同济医院、西安红会医院的技术协作下,集中开展下肢创伤的显微外科修复、足踝部骨折及运动损伤的踝关节镜微创治疗、先天及后天性畸形的矫正等手术,技术精湛,护理规范,很快在徐州六县及周边的苏鲁豫皖邻近县市患者中建立了优质口碑。不到一年时间便成立了足踝二病区,2019年3月,矫形重建外科也在国内著名矫形外科专家秦泗河教授团队的指导下成立。

第三代微创踇外翻矫正技术

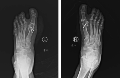
踝关节镜下关节探查清理+距腓前韧带修复手术
上周,足踝科大科主任石荣剑主任医师率领团队以精湛的技术完成两例微创手术,术后效果突出,赢得患者赞誉:采用第三代微创踇外翻矫正技术,为一位踇外翻畸形10多年的57岁患者成功进行了左右足矫正;利用踝关节镜,为一位扭伤右踝半年的49岁患者进行了镜下关节探查清理+距腓前韧带修复手术。
患者慕名而来,右足做完后又来做左足
57岁的王大姐家住鼓楼区,双足踇外翻畸形已经10多年。近一年来,王大姐双足的踇外翻畸形明显加重,行走时还伴有1、2趾疼痛,严重影响日常生活。2月中旬,听一位医生朋友介绍betway在线登陆足踝科在微创踇外翻治疗方面有丰富的临床经验和先进的技术,慕名来就诊。

石荣剑主任医师详细给患者检查后,其双足均为“踇外翻”,右足症状相对较重,考虑先做右足的微创踇外翻矫形。患者当即表示:“我就是奔着石院长您的技术来的,您给我的治疗方案一定是最佳的,我同意。”
王大姐随即办理了入院手续,完善了相关术前检查,第二天,石荣剑副院长徐明亮主任魏笛医生手术团队为王大姐进行了右足踇外翻矫形术。手术采用第三代微创踇外翻矫正技术,进口超声磨锯进行骨赘削磨及微创截骨,切口仅数毫米,既稳又快地完成手术。王大姐第二天就下地行走了,第三天换药时几乎看不到伤口。五天出院,回家三周后,王大姐就又过来了,找到石院长提出给她的左脚踇外翻也做矫形。“矫形手术效果真的不错,我的右脚现在一点也不痛,还好看了不少,平时走个几里路、上楼下楼都轻轻松松,您这次把我的左脚也做了吧!”如今王大姐的左脚也完成了微创踇外翻矫形,已经出院回家。
踇外翻微创技术
踇外翻俗称“大脚骨”,是一种常见的踇趾向足的外侧过度倾斜、第一跖骨内收的前足畸形,女性居多。
第三代微创踇外翻手术,切口小于1厘米,进口超声磨锯进行骨赘削磨及截骨,组织创伤小,伤口及周围组织易于修复。术后恢复快,疤痕微小,康复时间短,早期下床行走,减少关节粘连,避免出现踇趾僵直。
扭伤脚踝半年,医生踝关节镜下为他修复韧带
49岁的李师傅半年前下楼梯时一个不小心,扭伤了右脚踝,之后一直肿痛,休息了好长时间也没有好转,于是来到sararz足踝科治疗。

手术入路——两个0.5厘米小孔

镜下刨削刺激病变的距骨软骨

镜下打入锚钉固定距腓前韧带
石院长给他做了仔细检查,结合片子,确诊为“右踝外侧韧带损伤”。两天后,石院长李亮医生给患者进行了踝关节镜下右踝探查清理+距腓前韧带修复手术。
术中,探查见关节腔大量增生病变滑膜组织,距骨软骨面多处软骨剥脱变性,明显的外侧副韧带损伤后继发关节炎表现。手术医生在踝关节镜下刨削刺激病变的距骨软骨,打入锚钉固定距腓前韧带,圆满完成手术。
踝关节镜技术
踝关节镜技术是治疗踝部关节损伤与疾病的重要手段,具有损伤小、恢复快、并发症少等优点。sararz足踝外科以成熟的技术开展足踝部骨折脱位及运动损伤的踝关节镜微创治疗,包括:踝关节滑膜炎以及各种关节炎;踝关节滑膜软骨瘤;踝关节撞击综合征;踝关节不稳定;距骨软骨损伤;内踝骨折、后踝骨折、距骨骨折、跟骨骨折;踝关节融合、距下关节融合、踝管综合征等治疗。
专家名片

石荣剑
主任医师,betway在线登陆副院长
江苏省医学会显微外科分会副主委
徐州市医学会骨科分会副主委、手外科学组组长、足踝外科学组副组长
徐州市康复医学会修复重建外科专委会主委
国际矫形与创伤外科学会(SICOT)会员
徐州市重点专科(手外科)学科带头人,从事骨科及手足显微外科专业20余年,一直躬耕于显微外科的临床和科研一线,先后在无锡手外科医院、青岛401医院手外科、香港威尔斯亲王医院、西安市红会医院进修学习,在创伤骨科与手足显微外科领域积累了丰富的临床经验和较高的学术能力,在国家级核心期刊发表专业论文数十篇,主持参与的多个科研项目荣获“徐州市科学技术奖”和“徐州市医学新技术引进奖”。2016年8月,石荣剑副院长带领团队完成江苏省大肢体寄养回植手术。2018年10月,石院长应邀参加SICOT世界骨科大会,成为国际矫形与创伤外科学会会员。
专业特长:断肢再植、拇手指再造、游离皮瓣、带血管的游离骨瓣移植,足踝创伤、畸形,运动损伤。