投稿:手外二 刘双嘉
3个月前的一天晚上,李某(化名)和家里人吵架,心情极度郁闷,就用拳头击墙发泄情绪。这一击墙不要紧,李某顿感左手疼痛,活动不灵活,当时他忍着疼痛没有声张。到了第二天,李某的左手小指不能活动,手背肿胀,父母发现其左手已经肿如“馒头”。
李某的父母赶紧找人打听去哪家医院治疗效果好,邻居说他以前认识betway在线登陆手外科的熊祖国医生,当时干活时右手拇指不慎被锯断,熊医生帮他再植拇指,现在恢复非常好.。而且必威官方首页官网betway是三级骨科医院,技术、建设、服务方方面面都不错。
于是李某的父母立刻联系了熊祖国医生,向熊医生说明了具体情况。熊医生帮李某做了检查,又看了X线片,确诊李某是左手第五掌骨颈骨折、移位。熊医生为其进行了“顺行穿针微创”手术,手术很顺利,约30分钟完成,术后外形美观。

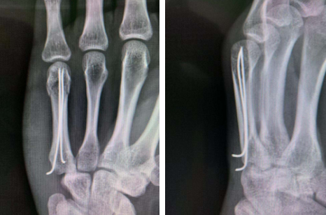
受伤时第五掌骨颈骨折情况

手术采用“顺行穿针内固定”治疗骨折固定情况

术后无疤痕,达到了微创、美观的效果
术后3月,李某来找熊医生复查时,其左手第五掌骨骨折端已经完全愈合,骨折愈合的时间较其他手术方式明显缩短,左小指的活动也恢复正常。

术后3月,左手功能恢复正常,外形美观
熊祖国医生介绍:掌骨颈骨折多见于青少年,因为处于青春期的孩子容易冲动,生气后用拳击打硬物导致骨折。对于这类骨折,采用“顺行穿针微创治疗”效果好,且外形美观。手术方式中克氏针(俗称“钢针”)不经过任何关节,钢针的尾部短小、微创方式进行,对患者损伤小,避免了因钢针尾部外露而造成的钉道感染;固定钢针不影响手部任何关节活动,利于早期功能锻炼,同时对生活影响也很小。
近几个月,熊医生已接诊了二十余位这样的患者,全部是血气方刚、容易冲动的青少年。熊医生提醒:各位青少年要学会控制自己的情绪,不要以暴力的方式来发泄自己的情绪,在遇到压力和困难时,可以找信任的人交流,帮助自己解开心结,避免出现极端行为。