玉米机再张“血盆大口”伤人
10月5日下午,家住铜山区的65岁谢阿姨在地里收玉米,怎料玉米剥皮机再张“血盆大口”,将谢阿姨的右手死死“咬住”……
“拔出来后,整个手简直没法看,我心想毁了,这下手废了。”回忆起当时的情况,躺在病床上的谢阿姨仍心有余悸。
家人陪同谢阿姨跑了多家医院,医生们看到损伤如此严重的右手,都建议将手部截肢处理,可谢阿姨偏偏“不认命”,她跟家人说:“我就不信没有人能救活我的手,我再去必威官方首页官网betway问问看!”
sararz医生医者仁心,为保肢暗下决心
夜幕降临,谢阿姨和家人赶到了必威官方首页官网betway,手外科三病区的李刚医生接诊后,心里一惊,因为他知道,损伤到这种程度的右手要想保住,难度之大超乎想象……
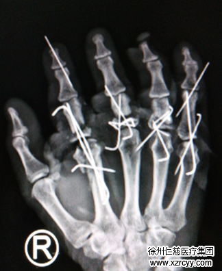
经诊断,谢阿姨右手示中环小指自掌指关节处离断,仅少许软组织相连,右手背及手掌皮肤脱套,伤口挫伤污染严重,离断指体畸形,苍白萎瘪,无血运。
“放心吧大姨,我们医护人员一定尽力,尽最大的努力去尝试,好不好?您别太担心。”面对谢阿姨期盼的眼神,李刚医生这样安慰着患者,可他却把沉甸甸的压力留给了自己。
手术历时5小时,手被成功保住
晚上8点钟,手术开始。李刚医生手术团队先是对患者受损的右手彻底清创,手法复位各指骨折断端及脱位关节,并用克氏针将骨折部位一一固定。1根、2根、3根……整整15根克氏针,把患者手部所有骨折部位均予以固定。随后,医生将断裂肌腱一一缝合,然后在显微镜下探查患者损伤的血管神经,将受损的血管神经一一缝合,最后又修复手掌手背的撕脱皮肤……当最后一针缝合完毕,已是凌晨1点钟。
“这除了需要专业技术外,其实对医生的心理也是一个极大的考验,面对损伤程度那么高的患肢,肯定很多医生会放弃,包括手术过程中,需要修复的地方太多,难免意志会不坚定,这就需要医生有足够的意志力才能完成这台手术。”就这样,整整5个小时的奋战,李刚医生为患者谢阿姨成功“救活”了残损的右手。
“我就知道,一定有医生能帮我保住手,太感谢你们了!”每次见到医生查房,谢阿姨都会激动地跟医生道谢。目前,谢阿姨正在恢复中。
专家介绍

李刚
主治医师
出诊时间 : 星期四上午
主治医师,医学学士学位,中华医学会手足显微外科分会会员,十余年来在四肢创伤诊疗,外伤后功能重建,手足部先天畸形方面积累大量临床经验。
研究方向:创伤骨科,手足部疾病,四肢周围神经损伤后修复与功能重建,拇手指缺损重建。
专业特长:四肢骨关节创伤、创面修复,先天手足部畸形,断肢(指)再植、再造,周围神经损伤的治疗。