当前位置: 首页>betway88官网手机版>典型病例>手外科

惨!《延禧攻略》中的明玉因它自杀。幸!现实版“明玉”找到了必威官方首页官网betway……

时间:2018-10-25 来源:未知 阅读:

  相信追过《延禧攻略》的朋友,一定会为“明玉”一角的下线而悲痛难过。


  想来明玉刚登场时,总是与魏璎珞作对,脾气不好遭网友嫌弃。但随着剧情的深入,单纯可爱的明玉不仅和魏璎珞情同姐妹,还与御前侍卫海兰察暗生情愫。可眼看就要修成正果,为何要自杀呢?


  原来纯妃害怕明玉识破自己陷害先皇后的秘密,曾命令手下在她体内扎进去了11根针。太医叶天士只取出8根,并称很有可能有些已入肺腑。之后明玉确实表现出身体不适、疼痛的现象。为了不连累心爱之人海兰察和主子魏璎珞,明玉便在出嫁时自杀身亡……
  
现实版“明玉”辗转多家医院为“取针”
  其实,现实版的“明玉”还真不少。就在10月16日晚上,家住市区的谢先生(化名)在家里吃完晚饭后,自然而然地走到沙发边上想坐下休息一会,结果这刚坐下去,“哎呦”一声,谢先生被一股强烈的刺痛感疼得跳了起来。
  “怎么了?”听到声音迅速走过来的妻子看到谢先生后,忽然心里一惊,“坏了,沙发上有针!”
  原来,当天下午谢先生的妻子在沙发上缝衣服,缝好后绣花针顺手便插在了沙发上,等叠好衣服,这根针便被忘得一干二净,结果谢先生这一坐,刚好坐在了针上!


  这根绣花针刺在了谢先生大腿内侧的位置,一小截断针残留在了谢先生的大腿上,妻子和谢先生辗转跑了几家医院,小医院称“无法取出”,大医院基本都是让住院手术取针。谢先生不想因为这点小事住院手术耽误工作,于是和妻子商量,等明天一早去趟必威官方首页官网betway问问看。
  
sararz医生微创1.5cm小切口门诊“取针”
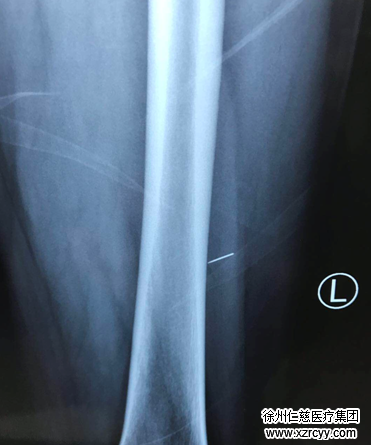
  17日一大早,谢先生和妻子来到必威官方首页官网betway,接诊的手外科二病区唐洪伟医生看了片子后,发现这根针从患者大腿后侧刺入,位置非常深,基本已刺到骨头。如果不取出,随着患者走路运动,绣花针会随之上下游走,一旦刺伤重要的血管神经,会造成大出血、深部组织感染、肌肉坏死等,后果将会非常严重。
  “我不想住院,再弄个大伤口,起码一个星期才能恢复出院,太耽误事了。”谢先生把诉求告诉了唐医生,唐医生在认真考虑了患者的伤情后,决定在门诊为其“取针”。


  局部麻醉后,在1.5cm微创小切口内,唐医生仔细探查发现,由于病人的行走,绣花针随着肌肉的移动开始游走,已经和皮肤针眼不在一个平面。唐医生凭借经验以及肌肉运动的轨迹,用止血钳一点一点去寻找这根断针,“过程就像大海捞针一样,你无法准确判断那根针游走到了什么位置。”唐医生说,就在一点点的摸索中,突然一下感觉碰到了断针,于是他迅速用一把止血钳夹住断针并固定,防止其脱落,然后又拿来另一把钳子将其完整取出。


  最终,这根长约1.5cm的断针被医生小心翼翼地从谢先生体内取出。谢先生感激不已地说“这下好了,不用住院,终于取出来了,还是你们医术高超。”伤口缝合好后,谢先生休息了一会儿便回家了。
  
针真的会在体内游走吗?
  关键还得看针的位置、深度以及时长。
  一般针插入皮肤、肌肉组织,可随着肌肉收缩,肌纤维运动而出现移位。新近断针又比较浅表的话,可能在短时间内出现血肿、疼痛等炎症表现。
  若针在腹腔内处于游离状态,或不小心扎在器官外壁上,把器官穿通,损伤到大血管、神经等,危险性极大。
  停滞时间过长的钢针可能会在某位置被肉芽组织包裹固定变成“针肉合一”,加之人体组织具有一定的适应性,所以也有体内钢针滞留几十年的病例。但这些针经过腐蚀生锈,或断成两截,容易诱发癌变和癫痫发作,也不容忽视。
  若针恰好进入血管,那画面不敢想。曾有这么个病例,一女子自己用缝衣针做针灸,从锁骨部位进入,最后却从心壁夹层中取出,专家猜想在呼吸及血液的作用下,这根针顺着血管到达心脏。要详细解释,可能还与人体流体力学、人体磁场学等医学理论有关。
  
针入体内应该怎么办?
  一旦针入体内,务必记得不要随意活动身体、剧烈运动。然后及时就医!
  此类金属异物取出术第一难就是定位困难。目前可用X 线、CT、超声、内镜等方法,但由于肌肉运动收缩,针很可能在刚做完检查与进手术室这个期间瞬时移位。
  第二难就是操作困难。手术入路要选在金属针距皮肤最近,皮肤与金属针间无重要血管、神经等重要组织结构处。有的针已经扎进器官,伤口极容易发生感染,引起局部脓肿,甚至可能腐蚀附近的组织。

  病例提供:手外科二病区 唐洪伟



了解更多betway在线登陆信息,请关注betway在线登陆官方账号

betway在线登陆微信服务号

betway在线登陆

微信服务号

扫一扫,预约挂号

betway在线登陆健康在线微信号

betway在线登陆
健康在线

微信号

rcyljt

了解更多健康资讯

betway在线登陆微博号

betway在线登陆

微博号

@betway在线登陆

betway在线登陆妇产科微信号

betway在线登陆
妇产科

微信号

xzrc-fc

陪你走过幸福的孕育时光

徐州sararz手外微信公众号

徐州sararz手外

微信公众号

betway在线登陆手外科

(市级临床重点专科)

sararz足踝微信公众号

sararz足踝

微信公众号

betway在线登陆足踝科

(市级临床重点专科)

betway在线登陆健康在线视频号

betway在线登陆
健康在线

视频号

@betway在线登陆

健康在线

betway在线登陆官方账号

betway在线登陆
官方账号

快手号

ID:1679047421

sararz医美微信号

sararz颜救所

微信号

rc_zxmr

徐州sararz美容医院

sararz手外一

sararz手外一

抖音

betway在线登陆手外一病区

(手及上肢畸形矫正外科)

sararz手外四团队抖音

sararz手外四团队

抖音

betway在线登陆手外四病区

(显微修复重建外科)

关踝使者

关踝使者

抖音

足踝外科徐明亮主任

(周三坐诊)

联系我们

  • 24小时咨询电话
    0516-87328999
  • 门诊时间
    08:00~17:00 (全年无公休医院)
  • 医院地址:
    徐州经济技术开发区杨山路11号
  • 乘车路线
    乘坐16路、103路、112路、966路、613路可直达。
Baidu
map