当前位置: 首页>betway88官网手机版>典型病例>手外科

【微病例】仅开口1.5cm!骨折部位被T型锁定板牢牢固定

时间:2018-09-28 来源:未知 阅读:
病情:
  手腕部摔伤、碰伤、砸伤,到医院一检查:骨折了! 相信很多人都曾遇到过这样的事儿,王阿姨(化名)前些天也遭遇了同样的意外。
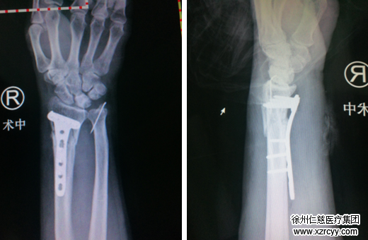
  9月15日下午2点多钟,家住铜山区的王阿姨在工地干活时不慎被“铁管”砸伤右腕,当时手腕就变形了,又肿胀又痛,于是急忙赶来必威官方首页官网betway,一拍片子:桡骨远端骨折、尺骨茎突骨折。


就诊:
  经检查:王阿姨尺骨桡骨闭合性骨折。手外三病区吴尧医生随即对王阿姨实施桡骨骨折切开复位内固定术。在右腕桡掌侧作一长约1.5cm纵行切口,将一块T型锁定板平行置于右桡骨掌侧,依次钻孔、功丝、测深,8枚金属锁定螺钉依次拧入,手术非常顺利。


  一般情况下,放置T型锁定板需要开口3cm左右,而必威官方首页官网betway手外科利用显微技术,仅开口1.5cm上锁定板,创伤小,不影响腕关节活动,术后恢复快,5-7天即可出院回家,半个月内便可正常活动。王阿姨看到如此小的伤口,不禁赞叹:“谢谢你们,技术过硬,又替病人考虑,选择sararz真是太对了。”


  病例提供:手外三病区 吴贞志

了解更多betway在线登陆信息,请关注betway在线登陆官方账号

betway在线登陆微信服务号

betway在线登陆

微信服务号

扫一扫,预约挂号

betway在线登陆健康在线微信号

betway在线登陆
健康在线

微信号

rcyljt

了解更多健康资讯

betway在线登陆微博号

betway在线登陆

微博号

@betway在线登陆

betway在线登陆妇产科微信号

betway在线登陆
妇产科

微信号

xzrc-fc

陪你走过幸福的孕育时光

徐州sararz手外微信公众号

徐州sararz手外

微信公众号

betway在线登陆手外科

(市级临床重点专科)

sararz足踝微信公众号

sararz足踝

微信公众号

betway在线登陆足踝科

(市级临床重点专科)

betway在线登陆健康在线视频号

betway在线登陆
健康在线

视频号

@betway在线登陆

健康在线

betway在线登陆官方账号

betway在线登陆
官方账号

快手号

ID:1679047421

sararz医美微信号

sararz颜救所

微信号

rc_zxmr

徐州sararz美容医院

sararz手外一

sararz手外一

抖音

betway在线登陆手外一病区

(手及上肢畸形矫正外科)

sararz手外四团队抖音

sararz手外四团队

抖音

betway在线登陆手外四病区

(显微修复重建外科)

关踝使者

关踝使者

抖音

足踝外科徐明亮主任

(周三坐诊)

联系我们

  • 24小时咨询电话
    0516-87328999
  • 门诊时间
    08:00~17:00 (全年无公休医院)
  • 医院地址:
    徐州经济技术开发区杨山路11号
  • 乘车路线
    乘坐16路、103路、112路、966路、613路可直达。
Baidu
map