当前位置: 首页>Betway必威App体育

春节前夕,78岁的五保老人遭遇车祸,几经抢救捡回一条命,如今却孤独地躺在医院里

时间:2018-03-14 来源:未知 阅读:


  “有认识的吗?自称叫王方立,78岁,家住睢宁县高作镇。2月13日晚在家附近发生交通事故,导致头部血肿,脏器挫伤,身体多部位骨折,经抢救已脱离危险,现人在必威官方首页官网betway关节外科,联系不上亲属,请知情者速与我们联系。”连日来,这样一则“寻人启事”在必威官方首页官网betway医护人员的微信朋友圈刷了屏。

  春节是中国人的传统佳节,而对于78岁的孤寡老人王方立来讲,刚刚过去的狗年春节却是一场“生死劫”。当人们共享亲情的时候,他却遭遇了飞来横祸,被一辆面包车撞倒,送到医院,几经抢救才捡回一条命。没有亲朋相聚的欢声笑语,没有举家团圆的觥筹交错,更没有儿孙绕膝的天伦之乐,这个春节与这位老人为伴的只有无尽的伤痛。眼下巨额的医疗费用和后续的康复生活更成为摆在他面前的最大困难。


 
心酸! 孤寡老人年前遭遇车祸
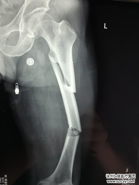
  3月9日,必威官方首页官网betway病房大楼12楼,刚刚脱离生命危险的王方立从重症监护室转至关节外科的普通病房。老人穿着干净的病号服躺在病床上,看上去精神很好。车祸中,老人的双腿多段骨折,手术后一直用支具固定着,护工在一旁悉心照顾着他。
  “大年二十八晚上8点多,我骑电动三轮车顺着公路回家,被一辆面包车撞倒了。”王方立老人回忆说,当时肇事司机拨打了120,随后他被送到了县医院,由于伤情过重,当晚又被紧急转送至betway在线登陆
  “刚送来的时候,老人浑身是土,衣服也很脏,神智有些模糊。”接诊的关节外科主治医师邱东新说,由于伤势过重,入院时老人一度出现了失血性休克,生命体征极不平稳,浑身冰凉,伤情十分危重。医护人员为老人擦身、清洗、并专门取来了干净的病号服给老人换上。


  由于找不到老人亲属, 医院按照“三无病号”开通绿色通道,当即为老人实施了急诊手术。术中探查发现老人双股骨多发性骨折、胫腓骨闭合性骨折、开放性胫骨骨折,腓骨骨折并伴有头部血肿、肺挫伤、腰部软组织损伤,考虑到伤者年岁已高,医生为伤者先行清创缝合,肌肉修复和骨牵引术,手术后送至重症监护室,密切观察生命体征。


  待老人的生命体征达到最佳手术状态后,2月24日和3月1日,关节外科主任蒋守海和主治医师邱东新分两次为老人进行了微创骨折复位固定手术,经过十余天的术后观察,目前老人已经脱离了生命危险,恢复状况良好。
  
无人照顾 爱心医护为老人撑起临时的家

  由于老人的听力不好,加上口音很重,医护人员很难了解到他的家庭住址。关节外科护士长赵洪艳说:“老人只能说出自己的名字和年龄,我们根据老人提供的线索联系了交警部门,最终确定老人是睢宁县高作镇的五保户,无儿无女,只有几位远房亲戚,我们也请交巡警帮助查找,但始终未见其亲属。”


  从2月13日入院到现在,老人都是独自住在医院里。因为一直没找到亲属,医院承担了老人所有的救治和日常护理费用。医护人员也用爱心为老人搭建起了一个临时的家,自费为老人买来拖鞋、餐具等生活用品。喂水、喂饭、擦身、洗护……医生护士们就像对待自己的家人一样,谁有空就伸手帮上一把。春节期间,细心的护士们还专门为老人在食堂订了饺子和汤圆。科主任蒋守海和主治医师邱东新只要一有空就会来到老人病床前关注病情、嘘寒问暖。见老人可怜,病友们也常送些吃的给他。没有亲人的陪伴,王方立老人却感受到了亲人般的温暖,在大家的热心相助下,老人也渐渐从伤痛的阴霾中走出来,精神状态一天好过一天。
  
想放弃治疗 不愿为难肇事者更不愿给社会添麻烦

  车祸发生后,经交警勘查现场,肇事车主和王方立老人负事故的同等责任。据了解,肇事司机同样是一名农民,家中生活并不富裕,根本拿不出钱来支付老人的治疗费。
  得知这一情况后,王方立老人一直要求放弃治疗,不想为难肇事司机,更不想给社会添负担。“我年纪这么大了,不要麻烦大家了,也不要去为难肇事车主,小伙子也不容易。”
  心疼老人的遭遇又被老人的善良所打动,必威官方首页官网betway特别为老人申请了江苏省道路救助基金,但相对于数额巨大的治疗和康复费用来讲,缺口仍然很大。

  主治医师邱东新说,老人在医院住了一个月了,期间,除了车主来过一次,没有任何人来看望过他。在没有家人陪伴的情况下,医院还专门请来了护工,承担起照顾老人的工作。目前,老人的伤情已基本稳定,院方已为老人垫付了近二十万元的医药费。邱医生表示,光靠大家的爱心不是长久之计,老人还面临后续的康复问题,如何安置老人,医生护士非常为难,因此特别呼吁社会力量伸出援助之手一起来帮帮这位既善良又不幸的老人。


了解更多betway在线登陆信息,请关注betway在线登陆官方账号

betway在线登陆微信服务号

betway在线登陆

微信服务号

扫一扫,预约挂号

betway在线登陆健康在线微信号

betway在线登陆
健康在线

微信号

rcyljt

了解更多健康资讯

betway在线登陆微博号

betway在线登陆

微博号

@betway在线登陆

betway在线登陆妇产科微信号

betway在线登陆
妇产科

微信号

xzrc-fc

陪你走过幸福的孕育时光

徐州sararz手外微信公众号

徐州sararz手外

微信公众号

betway在线登陆手外科

(市级临床重点专科)

sararz足踝微信公众号

sararz足踝

微信公众号

betway在线登陆足踝科

(市级临床重点专科)

betway在线登陆健康在线视频号

betway在线登陆
健康在线

视频号

@betway在线登陆

健康在线

betway在线登陆官方账号

betway在线登陆
官方账号

快手号

ID:1679047421

sararz医美微信号

sararz颜救所

微信号

rc_zxmr

徐州sararz美容医院

sararz手外一

sararz手外一

抖音

betway在线登陆手外一病区

(手及上肢畸形矫正外科)

sararz手外四团队抖音

sararz手外四团队

抖音

betway在线登陆手外四病区

(显微修复重建外科)

关踝使者

关踝使者

抖音

足踝外科徐明亮主任

(周三坐诊)

联系我们

  • 24小时咨询电话
    0516-87328999
  • 门诊时间
    08:00~17:00 (全年无公休医院)
  • 医院地址:
    徐州经济技术开发区杨山路11号
  • 乘车路线
    乘坐16路、103路、112路、966路、613路可直达。
Baidu
map