2017年12月9日晚10时,患者小张在单位干活时被“火车挂钩”挤伤右前臂,导致右前臂异常肿胀畸形,工友帮其包扎止血后,将他紧急送到
betway在线登陆诊治。
与此同时,betway在线登陆手外科二病区的黎医生刚接诊完一位急诊患者,听说又来了一位挤伤的,赶紧小跑到隔壁的急诊清创室查看患者情况。黎医生查看了一下小张的伤口,发现小张右手苍白,感觉麻木。“先去拍个片子,我看下骨头的情况。”黎医生说。
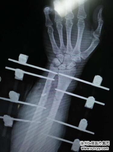
小张拍完片子后,X片上显示右尺骨远段粉粹性骨折,右桡骨远段骨折,且右前臂肿胀非常厉害,皮肤隐隐约约出现了一些细微的花斑。因为剧烈疼痛,小张在急诊清创室内一直忍不住大喊:“痛死了,痛死了......医生快救救我!”
黎医生听完工友的叙述后,结合小张目前的情况对其说到:“现在立马去办住院,考虑患者骨筋膜室综合征的可能,要马上进行清创和切开减压手术,若再拖一会儿,你的右前臂有可能因缺血而坏死,最后只能等待截肢。”
“骨筋膜室综合征”这个名词对于大多数人来说比较陌生,但临床却并不少见。黎医生指出,即使是比较常见的淤伤,若不留意或处理不当,软组织中的淤血会越出越多,令局部压力越来越高,肌肉和血管受压迫,导致局部血运不通,严重时肢体远端可发生缺血性坏死,医学上称之为“骨筋膜室综合征”,若救治不及时,患者很可能面临截肢的风险。
各项检查完毕后,手术室内,由于右臂异常肿胀,小张的右前臂切开后创面就像熟透的西瓜炸裂一样难以缝合。“我们首先对他进行了切开减压与清创,然后修复了损坏的血管与神经,因为患者右尺桡骨骨折,我们复位后给患者进行了外固定支架固定。患者后期还需皮瓣修复创面,他的前臂皮肤软组织缺损面积较大。”黎医生说。
皮之不存,毛将焉附?同理,软组织情况不好,骨头怎能长好?骨折断端愈合需要良好的血液供应,其中一大部分来自于周围软组织。黎医生表示,对明确骨筋膜室综合征诊断的伤员,应早期实施充分筋膜和肌膜的切开减压;对已经坏死的肢体早期实施截肢;同时要注意临床表现不明显的臀部、腰部肌肉坏死的存在,并给予手术清除。
1月3日,黎医生团队为小张实施了右前臂清创股前外侧游离皮瓣修复术,取小张大腿外侧皮肤进行手臂的修补,因为大腿外侧供区隐蔽性好,且大腿皮肤与前臂皮肤相近,手术整整进行了5小时,股前外侧游离皮瓣难度较大,需要手术者有高超的微血管吻合技术与丰富的手术经验。
“我的手臂就挤了一下,没想到经历了那么多次手术,而且手臂险些坏死,十分感谢黎医生接诊时的准确判断,不然我这个胳膊现在还不知道能不能保住呢!”慢慢康复的小张,对黎医生十分感激。
黎医生指出,“骨筋膜室综合征”以前臂和小腿最为常见,偶尔也会发生在手指上。一般骨折的病人,要特别关注“骨筋膜室综合征”的病发,肌肉拉伤的患者也要提高警惕。
如何判断是否患了“骨筋膜室综合征”?
黎医生表示,受伤后若保持休息状态,软组织肿胀在6-12小时内达到高峰并伴随有疼痛,过了这个时间,普通的淤伤能慢慢缓解;如果伤者感觉伤患处有脉冲式的搏动,慢慢地又没了搏动,从感觉很痛慢慢变得感觉不到痛,肢体逐渐变得苍白,这就是肿胀加重的信号,即有可能进展为骨筋膜室综合征,此时就要及时就医,以免延误病情。
另外,黎医生特别提醒,受到外伤后,不要擅自处理,或者置之不理,一定要到正规的医院做相应的检查和处理,以免延误治疗。
专家名片

朱辉
副主任医师
毕业于山东大学医学院(原山东医科大学) 。betway在线登陆手外科大科主任。兼任徐州市医学会骨科分会手外科学组委员、徐州市医学会骨科分会足踝外科学组委员。在北京积水潭医院进修学习。有十余篇论文在国家级杂志发表。2010年成功为一例多指离断患者完成国内首例多指异位寄养手术,并于半年后成功回植。现负责主持一项徐州市科技计划项目——掌指骨延长术的临床研究。
专业特长:复杂断指(肢)再植;手指再造;手部先天畸形矫正;手部创伤后期功能重建。
出诊时间:星期一上午
咨询电话:0516-87328999