从来没有一种疼痛,像颈肩腰腿痛一样困扰着那么多人。
在当今这样一个快节奏的时代,越来越少的体力劳动、越来越多的久坐不起使颈腰椎病患者越来越多,而且呈年轻化趋势。世界卫生组织的数据显示,颈肩腰腿痛已成为困扰全世界约10亿人的常见病,是世界上除感冒以外的第二大流行病。
椎间盘突出导致的严重颈肩腰腿痛,治疗的“终点”是手术。可是,传统的开刀手术“伤筋动骨一百天”,往往患者一听需要手术开一个二十厘米左右的切口,还要往身体里“打钉子”,就立马摇头。

传统VS微创
相对于传统的开放性手术,脊柱微创手术无疑是一场颠覆性的医疗技术革新,它只需要借助一根食指粗的管子,就能在脊柱这条人体最重要的“生命之柱”上动刀,并且可以迅速地让患者重新站起来。
如果用“刀尖上的舞蹈”来形容脊柱手术在骨科的挑战性,那么,脊柱微创便是舞蹈灵魂的完美呈现。
一位“腰突”患者的椎板间后入路脊柱内视镜手术治疗过程
“右腿终于可以放直了,做完手术腿立刻轻松了,也不疼了,昨晚总算能睡好觉了……”这是患者赵寅(化名)做完腰椎微创手术后,开口说的第一句话。谁能想到,这个42岁的硬汉此前饱受腰椎病的折磨,疼痛难以入睡,行走困难,站立5分钟便疼痛加剧。期间,他辗转多家医院诊治,更换多种药物,试过各种保守治疗方法,效果均不佳。
来看一下患者的术前视频:
老赵是一名矿工,工作需要长期弯腰,活累,腰总疼。但为了供两个孩子上学,再累他都咬牙挺了下来。那是2010年的夏天,有天早上老赵跟同事往车上搬木料,刚一吃劲儿,就听“咯噔”一声,当时他的腰就弓在那儿,疼得他连话都说不出来,一步路也走不了。后来,老赵趴在一张胶合板上,被同事抬到医院,医生的诊断是腰5骶1突出,说是要动手术。上手术台那可是大事情啊!老赵身边因为在腰上动手术而瘫痪的例子不是没有,即便是顺利下了手术台,至少也要休息个一年半载。他们夫妻俩,上有四个老的要赡养,下面还有两个孩子在念书,手头不宽裕,手术费和风险是两座大山。
怎么办呢?想来想去,老赵还是选择了保守治疗。没想到,这一扛就是七年。起初亲戚让他推拿按摩,他就去了。结果给按坏了,腰椎那里肌肉组织粘连,肿得老高,一星期没下来床。后来经人介绍,有一个老中医配的膏药,说是祖传的,看着又黑又亮,药味还挺浓,老赵一下子就买了几千块钱的,一连贴了三个月,皮肤都贴起泡了,结果腰还是越来越疼。还有其他的理疗、打针、电烤……都试遍了,可这些保守治疗治标不治本,就是消消炎,顶多缓解三天二天的。发展到后来,不光腰直不起来,右腿一侧还出现了剧烈的放射性疼痛,走起路来,像筋短似的,歪着屁股挪个几十米就疼得受不了,坐也不是,站也不是。这些年各种方法治来治去,始终没有明显效果,重活干不了,钱挣的也少了,老赵心里别提多着急了!
看着他整天被腰腿疼折磨得这般痛苦,老婆也是心急如焚。有好几次,老赵都看见老婆背着他偷偷抹泪。前不久,老婆在报纸上看到一篇betway在线登陆开设脊柱微创中心的文章,抱着试试看的心态来到必威官方首页官网betway碰碰运气。脊柱微创中心的台湾医师为老赵做了详细的查体,与仔细的看了MR片子;判断老赵为腰五骶一右侧有腰间盘突出压迫神经,并建议他做腰椎内视镜微创手术。只要在腰间打一个小小“钥匙孔”把压迫神经的髓核取出来,就能彻底解决他的痛苦,并且仅需局麻,出血少,恢复快,术后第二天就能下地,费用还比开放手术便宜……原本早已灰心的老赵又重新燃起了康复的希望。于是当天住院,第二天手术。
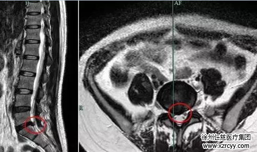
术前腰椎MRI显示可见L5/S1有突出,神经受到压迫(如红圈所示)

这是典型的微创内视镜手术的适应症,经过C臂机准确地透视定位成功置入工作通道并且顺利摘除突出物,术后患者立即感觉疼痛症状缓解。
这是在内视镜下抓取椎间盘髓核:

这是取出4.2g椎间盘髓核(空袋重1.0g):

术后的MRI:与术前的MRI相比能清晰地看出突出物被摘除,不再压迫神经(如红圈所示)。

让我们再来回顾一下:患者术前行走的步态,因疼痛而走不远。
术后第一天就可以下床阔步向前:
术后5天,老赵挺直“腰杆儿”顺利出院,激动和欣喜的表情一直写在他的脸上,他说:“我真的很后悔!早知道必威官方首页官网betway的脊柱微创手术治疗腰突有这么立竿见影的效果,我早就来了,哪里还要受这么多的罪啊!”
脊柱微创手术“扫盲帖”,必看!
无论什么样的手术,手术过程对患者来说都是紧张而又神秘的。
说起脊柱外科手术,很多人第一印象,便是冰冷的手术刀和术后长时间卧床休养的场景,以及弄不好就会全身瘫痪的传言。
以前,脊柱手术被认为是一个大手术,创伤大、风险大。随着医疗技术的进步,微创手术能干的事儿越来越多,尤其是脊柱内视镜的应用更是解除了众多患者的痛苦。但脊柱微创手术与开放手术相比,究竟有哪些不同?一起听听台湾脊柱微创中心专家的权威解答吧!
手术如何麻醉?风险大吗?
脊柱内视镜手术风险很低,手术是在局部麻醉下进行。局部麻醉疼痛的感觉很轻,由于这种方法所用的麻醉药剂量比无痛分娩还要低,手术中患者的下肢是可以活动的。
很多患者问手术中是否有仪器监测,害怕盲目穿刺损伤神经和血管。脊柱内视镜手术使用C型臂透视,透过内视镜在可视的情況下,将细小的神经与血管,放大数十倍,手术过程中身体的内部结构通过摄像头放大,显示在电脑屏幕上,血管、神经、肌肉、骨头、韧带等都看得一清二楚,所以很少会造成不必要的损伤;如果毛细血管出血,还可以通过脊柱内视镜的射频刀头来止血,避免手术视野被血盖住。
手术是否摘除椎间盘?术后脊柱会不稳吗?
很多腰椎间盘突出的患者,椎间盘仅突出10%~20%,通过脊柱内视镜手术把突出的髓核去掉,将没有病变的髓核、纤维环保留。一般来说,凡是能用髓核钳抓掉的间盘组织,都是病变的,没有病变的间盘是抓不动的。因此,手术不会把所有的间盘都掏空,好的椎间盘还在继续支撑着腰椎,不会导致脊柱不稳。
betway在线登陆脊柱微创中心独家引进美国HJY-YESS鸿建裕-杨氏医疗集团首席医学官Dr.Anthony Yeung(安东尼·杨)教授集25年超过一万台手术之临床经验形成的独有的脊柱内视镜SED技术,SED全称为Selective Endoscopic Discetomy 即选择性内视镜下椎间盘摘除术,换句话说,通过内视镜技术,选择性地将造成神经压迫的椎间盘病变部分、骨质增生和退变的黄韧带等组织彻底摘除,而不损害到其他好的组织。相比传统开刀手术,脊柱内视镜手术安全性更高,伤口只有6~7毫米,术后也只缝一针,创伤小不容易感染,患者恢复得更快,住院时间跟着缩短,相应的住院费和治疗费也会降低。
咨询电话:0516-87328999