手足是人类创造美好生活的源泉,日常工作中,人们总是对其爱护有加。然而,天有不测风云,一些不幸的事情总是会不期而至。

对于安徽淮北的常女士来说,过去的这一年多的时间可谓是百感交集。去年9月中旬,她在家中干农活时,不慎被玉米机绞伤了左脚,造成左足脱套离断,伤情极为严重。也正是这场突然袭来的意外,让她平静的生活顿起波澜。
金秋9月,正值玉米大面积收获的时候,常女士在家中忙得不亦乐乎,还专门找来剥皮机给新鲜的玉米剥皮。然而让她没想到的是,就是这个被她视为“好帮手”的机器却是“伤她没商量”,常女士一个不小心,左脚便被玉米机绞了进去。顿时,鲜血淋淋,疼得她浑身直打哆嗦。
事发后,常女士被家人火速送到当地医院救治。接诊的医生一看伤势,顿时倒吸一口凉气:伤势这么重,这脚怕是要保不住了。
然而,失去一只脚就意味着残疾,这对于正值壮年的常女士来说无疑是个巨大的打击。家人纷纷央求:“想办法救救她吧!她是一家人的顶梁柱啊!”
“那赶快去betway在线登陆吧,兴许还能保得住。”听说还有一丝希望,家人赶紧包车将常女士送到了betway在线登陆。

打开伤者伤口的那一瞬间,必威官方首页官网betway手外科主治医师张允会顿时意识到肩上沉甸甸的责任。好在受伤时间不长,伤口也经过初步处理,为后续治疗创造了良好的条件。经过必要的检查和麻醉后,手术开始了。
清理创面、剪去坏死的组织、固定脱位关节、吻合细如毛发的血管、缝合肌腱、对接神经,这一切精细的动作在张医生手中显得那么娴熟,那么自然,就象在创造一件艺术品一样,没有半点马虎和疏忽。时间一秒一秒地过去了,一根根血管在显微镜下完成吻合,患者苍白已久的脚趾慢慢红润了起来。
然而,这仅仅只是个开始。术后,患者还要安全渡过感染关、血管栓塞关、组织坏死关,才能保证肢体存活。张允会医生和护理组的兄弟姐妹们丝毫不敢大意。
尽管如此,坏消息还是来了,术后十天,常女士的术后创面出现了坏死组织,又再次进行了清创和VSD负压吸引术,经过为期二十多天的康复,常女士的左足背、足底创面长出了新鲜的肉芽,具备了皮瓣移植的条件,2016年10月和11月,常女士分别接受了两轮左足游离皮瓣移植修复术,术后予以抗炎、消肿、活血、抗凝等对症治疗,患足背皮瓣成活,足底创面新鲜,左大腿预构皮肤成活良好,常女士欣喜地出院了。
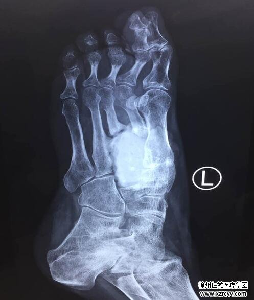
经过一段时间的康复和休整,今年2月,常女士再次入院,取除左脚骨折的内固定装置。然而让医护人员和患者不愿看到的是,术后常女士脚上的伤口迟迟未能愈合,经医生确诊,这是由于常女士患上了骨髓炎并迁延不愈所导致,必须对骨髓炎病灶进行彻底清除,才能进行骨移植,保证患足真正意义上的治愈。于是又经过半年的清创和恢复,常女士于近日接受了跖骨游离腓骨的移植修复手术。在医护人员的全程护航下,目前移植的骨头已经基本长好,患足血液供应情况良好,待伤口基本愈合后即可出院。
“我真的没想到,我的脚都这样子了还能接上去,居然还能接活,sararz的医生真的太神了……”看着失而复得的左脚,原本早已不抱希望的常女士激动得一时凝噎。