“耄耋皆得以寿终,恩泽广及草木昆虫。”假如我们眼前出现了“九旬老妪”四个字,会直接联想到什么呢?颐养天年?儿孙围绕?只是无论如何,我们也不会想到耄耋之年的老人却要忍受着“折翼断臂”之痛罢。昨日,家住邳州的九旬老妪左老太,竟然被一个几乎家家都有的“凶器”,生生绞断了左臂,现在仍在betway在线登陆ICU进行观察。

飞来横祸,九旬老妪命悬一线
10月29日下午,88岁的左老太与大儿子马师傅在自家门口打场,一边清理麦子和玉米中的杂质,马师傅自己安装在拖拉机飞轮上的铁质风扇飞速地旋转,许多农户家里都以此借助风力来吹去麦子的秕子和麦糠。左老太准备进屋去拿过滤杂质用的筛子,谁知侧身走过拖拉机旁时,意外发生了,老太太左手的衣袖猛地卷进了正在旋转的风扇里。

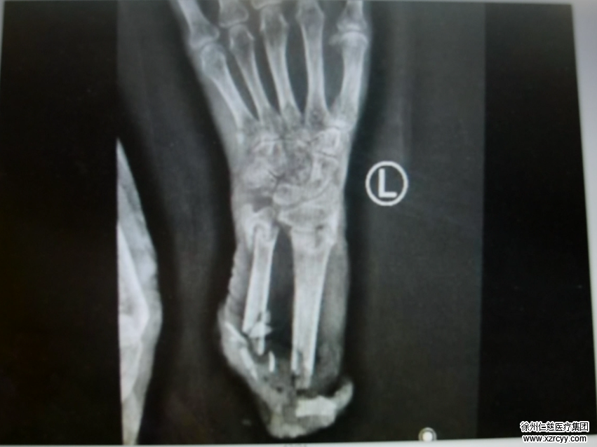
马师傅看见这情景吓坏了,他一边喊,一边赶紧跳下拖拉机用手里的木撬去挡风扇,可情况太危急,短短的几秒,左老太的左臂就已经被风扇绞得血肉模糊,整个人都差点被风扇绞进去。马师傅赶紧停掉风扇开关,用衣服简单地包扎了一下左老太的伤口,赶紧送往医院。因为老太年事已高,加上失血过多,当时已经处于休克状态,情况十分危急,经betway在线登陆急诊的医生接诊后,左老太被诊断为:左前臂离断、左大腿皮肤及软组织撕脱、额头出血,伤情十分严重。

3小时的生命接力,成功挽救老太生命
各项检查完毕后,一分钟也没耽搁,左老太被迅速送进了手术室,考虑到老太太的年纪,betway在线登陆手外一病区的滕道练医生选择了对老太太进行局部麻醉的手术方案。持续了整整3个多小时的生命接力,当400ML的血液缓缓输入老太太的血管时,滕道练医生终于松了一口气。

紧接着,betway在线登陆脑外科的专家进行头部伤口的缝合,手外科的专家进行左臂伤口的清创处理。3小时的高度精神紧张,让滕道练浑身都湿透了。因为局部麻醉,老太太尚有意识,进行手术的同时,滕道练还得哄着老太太,和她说说话,让她精神放松。“老太太左臂伤口污染太重,全是泥土和麦穗,断肢也不例外,年纪太大,成活率太低了,这样肯定要截肢了。”滕道练表示,“如果伤口感染了,治疗起来可能更麻烦,截肢范围可能要扩大。”据悉,左老太的左腿皮肤大面积撕脱,骨外露,后期可能还要进行植皮手术。

让九旬老妪“断臂”的凶器,竟家家都有
betway在线登陆手外一病区滕道练医生介绍说,类似左老太的事件,betway在线登陆屡见不鲜。风扇,看似一个普通的家用电器,也可以成为致命的“凶器”!农忙时节,许多农民选择扬场用的“大号风扇”其实存在很大的安全隐患。“比如这次的左老太,他们扬场时,用的这个风扇就没有安全罩,再比如说我们的家用风扇,必威官方首页官网betway以往接诊过一个把自己的手指伸进正在转动的风扇里的小孩子,三根手指被绞断了。”腾道练最后表示,每一位受伤的患者,无疑都给大家敲了一个警钟,小心防范惨剧的发生。

小编在ICU门口见到了老太太的大儿子马师傅,他表示自己家庭情况十分拮据,住院费东凑西凑也才凑了些许,情况危急下,betway在线登陆直接开辟了绿色通道对左老太进行全力救治,他十分感激。
