今年53岁的李阿姨,在工厂干活时不慎因机器转动扭伤右手腕,导致右手第1掌骨基底部分骨折。受伤后,李阿姨第一时间在外院做了复位外固定。本以为这会是故事的终点,然而,4月初,受伤1个月后李阿姨去医院检查时摄片发现,骨折复位部位后再次发生错位。
“医生说要手术,我一直担心万一不好怎么办。”一番纠结,在家人的陪伴下,李阿姨来到betway在线登陆手外科求助。

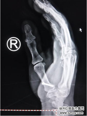
术前检查
Bennett骨折,整复容易固定难
“这是第1掌骨基底部的骨折合并第1腕掌关节的脱位。”接诊的betway在线登陆手外二病区齐伟亚主任,结合摄片及检查情况,对李阿姨的伤情做出准确判定。
第1掌骨基底部骨折脱位又称Bennett骨折,是一种极不稳定的骨折,发生在第1掌骨基底部的骨折合并第1腕掌关节的脱位或半脱位,由爱尔兰外科医生Bennett于1882年第一次描述,是一种涉及关节面的关节内骨折,属于手部的常见骨折。
解释完拗口的医学名词后,齐主任重新拿起片子,指着对李阿姨受伤部位说,因为这个位置的特殊性,整复容易固定较难,若处理不当,会导致拇指活动受限、力量减弱,骨关节退行性变。手部功能的40%-50%由拇指完成,拇指功能障碍将会对患者今后生活带来严重影响。
综合考虑多重因素,最终,齐主任为李阿姨量身定制了微创复位内固定(Herbert螺丝钉内固定)的手术方案。

术中
一颗螺丝钉解决问题
齐伟亚主任介绍,“Herbert螺丝钉内固定是一种松质骨加压固定的新型螺丝订,由Herbert设计,于1977年开始应用在临床上。该螺丝钉的特点为两端有螺纹,中间无螺纹,头部无螺帽、直径为4mm,可以埋入软骨下,起到加压作用。”
与克氏针内固定、钢丝内固定、微型钢板内固定相比,Herbert螺丝钉稳定性较好,并允许早期活动关节,外固定平均使用4周,有的甚至可不用外因定,亦不必做二次手术取出螺丝钉。是关节内骨折较理想的内固定材料。
4月11日,收治入院第二天,李女士被推入手术室。术中,通过2毫米的切口,置入Herbert螺钉内固定。术后第二天,李女士指间关节便可进行活动。


术后