投稿:小儿骨科 赵春旭
初夏临近,有很多青少年因为活动后膝关节疼痛到betway在线登陆小儿骨科门诊就诊。
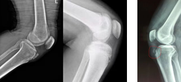
王泺镔主治医生介绍,这是一种青少年常发性疾病,叫做胫骨结节骨软骨炎,又叫做胫骨结节骨骺炎,好发于11~15岁爱好运动的男孩。这种疾病的症状以膝关节疼痛为主,行走活动时明显。病症部位位于髌骨下方,小腿近端的骨性凸起处,疼痛部位比较固定。在做奔跑、跳跃运动、伸膝及蹲起活动常引起疼痛加剧。大部分的家长认为可能与孩子活动量增大有关,所以一开始并未重视,直到孩子反复诉求才得到重视。
这种疾病的病因是膝关节在运动过程中,髌腱会对胫骨结节发生牵拉,由于儿童肌腱强度会比骨头更强一些,长期的牵拉刺激导致髌韧带止点的胫骨结节附着处发生炎症反应,而引起疼痛不适。一般通过患儿症状及X线片表现即可明确诊断。

对于这种疾病大部分患者仅需保守治疗或不需治疗。对一般疼痛较轻者,只需停止剧烈运动,症状即可消失。部分患者需配合局部热敷、理疗、应用外用药物,均有助于改善症状,以减轻肿胀、疼痛。对疼痛剧烈者,可局部封闭治疗,或予以石膏固定,症状通常可以消失。这种病一般在儿童停止生长,骨骺完全骨化后疼痛可消失。极少患者需要手术治疗。早期就诊有助于延缓疾病进展及症状恢复,所以当孩子膝盖疼时,爸爸妈妈们应及时带孩子到专科医院就诊。