病例提供:足踝一病区 苏省
7月3日上午,18岁的小旭在母亲的陪伴下,一瘸一拐的走进
betway在线登陆足踝门诊,正在坐诊的曹广超主任详细了解了小旭的情况。
小旭的母亲不住地埋怨自己,说没有早点带孩子来看。原来小旭在出生时就被家人发现右足酶趾外翻畸形,但一直未予重视,随着年龄增长畸形加重,3年前走路时疼痛严重,已经影响到了正常的运动。现在刚高考结束,为了有个正常的大学生活,在朋友的推荐下,趁着暑假来到必威官方首页官网betway问诊。
曹主任安慰小旭和母亲,告诉她们,造成踇外翻的原因可分为先天因素与后天因素两类。 先天因素是由于关节、神经、肌肉等原因所造成的。例如:扁平足、遗传及足底筋力的降低和不平衡等,使脚底机能降低,造成不稳定进而变形。后天的踇外翻的原因通常因穿的鞋跟太高、过尖及过窄的鞋,使脚跟不易固定,对脚趾造成挤压摩擦及压迫,行走时全身重量落在足部前端,脚趾会因身体重量压迫逐渐变形,就会造成踇外翻的现象。
而治疗踇外翻手术方式较多,应根据患者的踇外翻角度及跖骨间角度来个性化的定制手术方案,betway在线登陆足踝科成功实施上百例踇外翻矫形手术,患者恢复良好,手术效果确切,听了曹主任的介绍,小旭和母亲才放下心来。
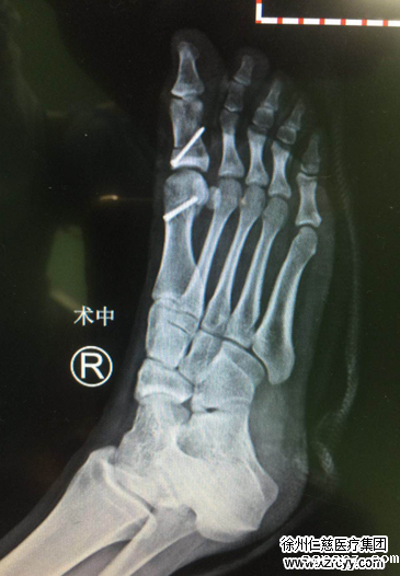
经过检查,小旭的右足踇指自跖趾关节向外侧偏斜移位,踇外翻角约37°,跖间角约15°,第一跖骨头内侧膨大,踇囊形成。采取Chevron+akin截骨进行踇外翻矫正手术,于是对小旭安排了住院准备手术。

术后
苏省医生配合曹主任对小旭的踇外翻进行了手术,术中切除跖骨头骨赘,对第一跖骨远端和近节跖骨做截骨。术后不久,小旭就可以下床行走,疼痛消失。
苏省医生介绍,踇外翻是一种常见的足趾畸形疾病,女性多于男性,大部分患者在青年阶段发病,但由于常常并没有认识到该疾病,疾病逐渐加重,在中老年时期,足部出现疼痛时才就诊治疗。他表示,暑假也是家长带孩子看踇外翻的高峰,不少家长都是趁假期带孩子来的。

术中
那么如何判断是踇外翻呢?
1.踇外翻挛缩阶段:大拇趾外翻10-20度,关节及韧带有炎症,第一、第二脚趾明显挤压,脚掌明显变宽,足底脚茧明显,长时间行走易引起大拇趾关节疼痛及脚掌疼痛。这些就是踇外翻的症状。
2.大拇趾畸形阶段:大拇趾外翻40度以上,脚趾使命结束,拇趾严重重叠,脚趾不受力,足弓塌陷,难以行走,脚掌直接承受脚趾部分压力,足底有老茧,双足严重错误负力,各关节难以协调运作, 导致人体生命立负力线改变,引起膝关节炎症、腰酸背疼等一系列踇外翻的症状。
3.踇外翻可逆阶段:大拇趾外翻10度左右,影响美观,没有疼痛感,脚掌有轻微脚茧,不会直接影响行走,穿高跟鞋会引起疼痛。这也属于踇外翻的症状。
4.踇外翻严重阶段:大拇趾外翻20-40度,脚趾重叠,横弓塌陷、鸡眼、脚垫、扁平足、后跟疼痛、双脚受力难平衡,严重影响站立和行走。出现这些现象也是踇外翻的症状。
踇外翻术后的护理要点:
1、下地后第一周的活动量以室内活动为主,生活自理为宜;
2、拆绷带后,用活血化瘀消肿的中药外洗,以促进血液循环,加速足部功能的恢复;
3、保持伤口清洁与干燥,骨头与软组织愈合约需8周;
4、术后训练使用拐杖,或穿上石膏鞋可直接走路;
5、两周至一个月可回工作岗位,三个月可做体育方面的运动;
6、避免穿着过尖、鞋跟过高的鞋子,以免拇指外翻复发。